The BRD4 Monoclonal Antibody (CAB12677) is a high-quality antibody developed for reliable detection and analysis of target proteins. This antibody, produced from rabbit cells, shows high specificity towards human samples and has been validated for use in Western blotting applications. By targeting the BRD4 protein, researchers can easily detect and analyze its expression in various cell types, making it ideal for studies in oncology, epigenetics, and gene regulation.
This antibody is validated for use in WB, IHC-P, ELISA applications and has demonstrated reactivity against Human samples.
Product Name:
BRD4 Monoclonal Antibody
SKU:
CAB12677
Size:
20μL, 100μL
Reactivity:
Human
Clone Number:
ARC0699
Conjugate:
Unconjugated
Immunogen:
Synthetic peptide. This information is considered to be commercially sensitive.
Recommended starting concentration is 1 μg/mL. Please optimize the concentration based on your specific assay requirements.
Synonyms:
CAP, MCAP, HUNK1, HUNKI, FSHRG4, BRD4
Positive Sample:
HeLa, Jurkat
Cellular Localization:
Chromosome, Nucleus.
Calculated MW:
152kDa
Observed MW:
120kDa/140kDa/200kDa
The protein encoded by this gene is homologous to the murine protein MCAP, which associates with chromosomes during mitosis, and to the human RING3 protein, a serine/threonine kinase. Each of these proteins contains two bromodomains, a conserved sequence motif which may be involved in chromatin targeting. This gene has been implicated as the chromosome 19 target of translocation t(15;19)(q13;p13.1), which defines an upper respiratory tract carcinoma in young people. Two alternatively spliced transcript variants have been described.
Purification Method
Affinity purification
Gene ID
23476
RRID
AB_2861672
Buffer Information
Store at -20℃. Avoid freeze / thaw cycles. Buffer: PBS containing 50% glycerol and 0.05% BSA, preserved with proclin300 or sodium azide, pH 7.3.
Western blot analysis of various lysates using BRD4 Rabbit mAb (CAB12677) at 1:1000 dilution. Secondary antibody: HRP-conjugated Goat anti-Rabbit IgG (H+L) (CABS014) at 1:10000 dilution. Lysates/proteins: 25μg per lane. Blocking buffer: 3% nonfat dry milk in TBST. Detection: ECL Basic Kit (AbGn00020). Exposure time: 30s.
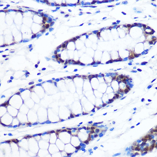
Immunohistochemistry analysis of paraffin-embedded Human colon using BRD4 Rabbit mAb (CAB12677) at dilution of 1:100 (40x lens). Microwave antigen retrieval performed with 0.01M PBS Buffer (pH 7.2) prior to IHC staining.