BROX Antibody is a premium polyclonal that offers outstanding performance and reliability for demanding research applications. Rigorously validated for ELISA, WB, IHC, IF, this antibody ensures consistent, reproducible results across multiple experimental platforms. Demonstrates excellent reactivity with Human samples, providing researchers with confidence in cross-species compatibility. Conveniently packaged in 50ug format to meet your experimental needs. For optimal performance, store at -20°C or -80°C and maintains stability for 12 months. Backed by rigorous quality control testing to ensure superior performance in your critical research applications.
Product Name:
BROX Antibody
SKU:
PACO61005
Size:
50μg
Isotype:
IgG
Host Species:
Rabbit
Reactivity:
Human
Immunogen:
Recombinant Human BRO1 domain-containing protein BROX protein (288-409AA)
Immunogen Species:
Homo sapiens (Human)
Uniprot No:
Q5VW32
Form:
Liquid
Tested Applications:
ELISAWBIHCIF
Recommended Dilution:
Application
Recommended Dilution
WB
1:500-1:5000
IHC
1:200-1:500
IF
1:50-1:200
Synonyms:
BRO1 domain and CAAX motif containing antibody, BRO1 domain containing protein antibody, BRO1 domain- and CAAX motif-containing protein antibody, BRO1 domain-containing protein BROX antibody, BROFTI antibody, Brox antibody, BROX_HUMAN antibody, C1orf58 antibody, FLJ32421 antibody, hCG_25336 antibody, RP11-452F19.1 antibody
Western Blot Positive WB detected in: K562 whole cell lysate All lanes: BROX antibody at 3µg/ml Secondary Goat polyclonal to rabbit IgG at 1/50000 dilution Predicted band size: 47, 43 kDa Observed band size: 47 kDa
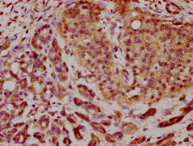
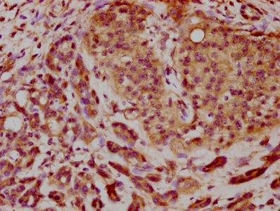
IHC image of PACO61005 diluted at 1:200 and staining in paraffin-embedded human pancreatic cancer performed on a Leica BondTM system. After dewaxing and hydration, antigen retrieval was mediated by high pressure in a citrate buffer (pH 6.0). Section was blocked with 10% normal goat serum 30min at RT. Then primary antibody (1% BSA) was incubated at 4°C overnight. The primary is detected by a biotinylated secondary antibody and visualized using an HRP conjugated SP system.
Immunofluorescence staining of Hela cells with PACO61005 at 1:66, counter-stained with DAPI. The cells were fixed in 4% formaldehyde, permeabilized using 0.2% Triton X-100 and blocked in 10% normal Goat Serum. The cells were then incubated with the antibody overnight at 4°C. The secondary antibody was Alexa Fluor 488-congugated AffiniPure Goat Anti-Rabbit IgG(H+L).