The CD147/BSG Antibody (CAB1566) is a high-quality antibody developed for reliable detection and analysis of target proteins. This antibody, raised in rabbits, exhibits high reactivity with human samples and is validated for use in Western blot applications. By targeting the BSG protein, this antibody enables precise detection and analysis of BSG expression in various cell types, making it an essential component in studies related to immunology, cancer research, and beyond.BSG is a multifunctional transmembrane glycoprotein that plays a crucial role in a variety of physiological and pathological processes, including cell adhesion, migration, proliferation, and tumor invasion.
This antibody is validated for use in WB, IHC-P, IP, ELISA applications and has demonstrated reactivity against Human, Mouse, Rat samples.
Product Name:
CD147/BSG Antibody
SKU:
CAB1566
Size:
20μL, 100μL
Reactivity:
Human, Mouse, Rat
Conjugate:
Unconjugated
Immunogen:
Synthetic peptide. This information is considered to be commercially sensitive.
Cell Membrane, Melanosome, Single-Pass Type I Membrane Protein.
Calculated MW:
42kDa
Observed MW:
38-65kDa
The protein encoded by this gene, basigin, is a plasma membrane protein that is important in spermatogenesis, embryo implantation, neural network formation, and tumor progression. Basigin is also a member of the immunoglobulin superfamily, ubiquitously expressed in various tissues. Multiple transcript variants encoding different isoforms have been found for this gene.
Purification Method
Affinity purification
Gene ID
682
RRID
AB_2763067
Buffer Information
Store at -20℃. Avoid freeze / thaw cycles. Buffer: PBS containing 50% glycerol, preserved with proclin300 or sodium azide, pH 7.3.
Western blot analysis of various lysates using CD147/BSG Rabbit pAb (CAB1566) at 1:1000 dilution. Secondary antibody: HRP-conjugated Goat anti-Rabbit IgG (H+L) (CABS014) at 1:10000 dilution. Lysates/proteins: 25μg per lane. Blocking buffer: 3% nonfat dry milk in TBST. Detection: ECL Basic Kit (AbGn00020). Exposure time: 30s.
Western blot analysis of various lysates using CD147/BSG Rabbit pAb (CAB1566) at 1:1000 dilution. Secondary antibody: HRP-conjugated Goat anti-Rabbit IgG (H+L) (CABS014) at 1:10000 dilution. Lysates/proteins: 25μg per lane. Blocking buffer: 3% nonfat dry milk in TBST. Detection: ECL Basic Kit (AbGn00020). Exposure time: 5s.
Western blot analysis of various lysates using CD147/BSG Rabbit pAb (CAB1566) at 1:1000 dilution. Secondary antibody: HRP-conjugated Goat anti-Rabbit IgG (H+L) (CABS014) at 1:10000 dilution. Lysates/proteins: 25μg per lane. Blocking buffer: 3% nonfat dry milk in TBST. Detection: ECL Basic Kit (AbGn00020). Exposure time: 180s.
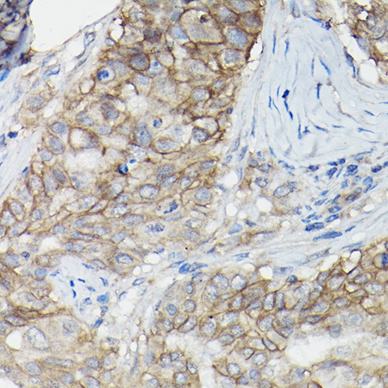
Immunohistochemistry analysis of paraffin-embedded Human breast cancer using CD147/CD147/BSG Rabbit pAb (CAB1566) at dilution of 1:100 (40x lens). High pressure antigen retrieval performed with 0.01M Citrate buffer (pH 6.0) prior to IHC staining.
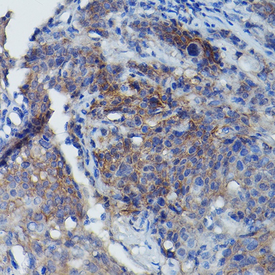
Immunohistochemistry analysis of paraffin-embedded Human cervix cancer using BSG Rabbit pAb (CAB1566) at dilution of 1:100 (40x lens). High pressure antigen retrieval performed with 0.01M Citrate buffer (pH 6.0) prior to IHC staining.
Immunohistochemistry analysis of paraffin-embedded Human placenta using BSG Rabbit pAb (CAB1566) at dilution of 1:100 (40x lens). High pressure antigen retrieval performed with 0.01M Citrate buffer (pH 6.0) prior to IHC staining.
Immunoprecipitation analysis of 600 μg extracts of Mouse brain using 3 μg CD147/BSG antibody (CAB1566). Western blot was performed from the immunoprecipitate using CD147/BSG antibody (CAB1566) at a dilution of 1:1000.