The C10orf82 Polyclonal Antibody (PAC038638) is a valuable tool for researchers studying the C10orf82 protein, which has been linked to cancer development and progression. This antibody, generated in rabbits, exhibits high reactivity with human samples and is validated for use in Western blot applications. By binding specifically to the C10orf82 protein, researchers can effectively detect and study its expression in various cell types, providing critical insights into its role in cancer biology.
C10orf82, also known as a potential oncogene, is implicated in tumorigenesis and has been associated with poor prognosis in certain cancer types. Understanding the function and regulation of C10orf82 is essential for advancing our knowledge of cancer biology and identifying potential therapeutic targets. The C10orf82 Polyclonal Antibody is an essential tool for researchers aiming to unravel the mechanisms underlying cancer development and improve treatment strategies.
Western blot. All lanes: C10orf82 antibody at 1µg/ml. Lane 1: A431 whole cell lysate. Lane 2: HepG2 whole cell lysate. Lane 3: Mouse thymus tissue. Secondary. Goat polyclonal to rabbit IgG at 1/10000 dilution. Predicted band size: 27, 18, 13 kDa. Observed band size: 27 kDa.
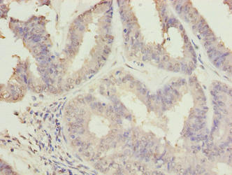
Immunohistochemistry of paraffin-embedded human endometrial cancer using PACO38638 at dilution of 1:100.
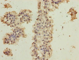
Immunohistochemistry of paraffin-embedded human breast cancer using PACO38638 at dilution of 1:100.
Synonyms:
Uncharacterized protein C10orf82, C10orf82
UniProt Protein Function:
C10orf82: 3 isoforms of the human protein are produced by alternative splicing.Chromosomal Location of Human Ortholog: 10q25.3