The C14orf177 Polyclonal Antibody (PACO60064) is a valuable tool for researchers studying the protein encoded by the C14orf177 gene. This antibody, produced in rabbits, is highly specific and reacts well with human samples, making it suitable for a variety of research applications. Validated for use in Western blotting, this antibody binds to the C14orf177 protein, allowing for its detection and analysis in different cell types.C14orf177, a relatively uncharacterized protein, is of interest due to its potential role in various cellular processes. Research suggests that C14orf177 may be involved in immune regulation or other biological functions, making it a promising target for further investigation.
By using the C14orf177 Polyclonal Antibody, researchers can explore the functions and mechanisms of this protein, advancing our understanding of its potential implications in diseases such as cancer, autoimmune disorders, and other conditions.With its high reactivity, specificity, and versatility, the C14orf177 Polyclonal Antibody is a valuable resource for researchers in immunology, cancer research, and beyond. By studying the protein targeted by this antibody, scientists can uncover new insights into cellular pathways and potentially identify novel therapeutic targets for a range of diseases.
Antibody Name:
C14orf177 Antibody (PACO60064)
Antibody SKU:
PACO60064
Size:
50ug
Host Species:
Rabbit
Tested Applications:
ELISA, IHC
Recommended Dilutions:
ELISA:1:2000-1:10000, IHC:1:200-1:500
Species Reactivity:
Human
Immunogen:
Recombinant Human Putative uncharacterized protein C14orf177 protein (1-125AA)
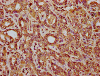
IHC image of PACO60064 diluted at 1:200 and staining in paraffin-embedded human liver cancer performed on a Leica BondTM system. After dewaxing and hydration, antigen retrieval was mediated by high pressure in a citrate buffer (pH 6.0). Section was blocked with 10% normal goat serum 30min at RT. Then primary antibody (1% BSA) was incubated at 4°C overnight. The primary is detected by a biotinylated secondary antibody and visualized using an HRP conjugated SP system.
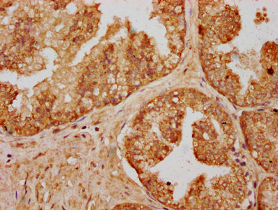
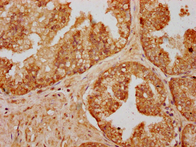
IHC image of PACO60064 diluted at 1:200 and staining in paraffin-embedded human prostate cancer performed on a Leica BondTM system. After dewaxing and hydration, antigen retrieval was mediated by high pressure in a citrate buffer (pH 6.0). Section was blocked with 10% normal goat serum 30min at RT. Then primary antibody (1% BSA) was incubated at 4°C overnight. The primary is detected by a biotinylated secondary antibody and visualized using an HRP conjugated SP system.
Synonyms:
Putative uncharacterized protein C14orf177, C14orf177
UniProt Protein Function:
C14orf177: Chromosomal Location of Human Ortholog: 14q32.2