The C1QTNF9B Polyclonal Antibody (PAC047866) is a valuable tool for researchers studying C1QTNF9B, a protein involved in immune regulation and inflammation. This antibody, produced in rabbits, exhibits high reactivity with human samples and has been validated for use in Western blot applications. By binding specifically to the C1QTNF9B protein, this antibody allows for accurate detection and analysis in a variety of cell types, making it an excellent choice for studies in immunology and cancer research.C1QTNF9B is a member of the C1q/TNF-related protein family and has been implicated in regulating immune responses and inflammatory pathways.
Its role in immune system modulation highlights its potential as a therapeutic target for diseases such as cancer, autoimmune disorders, and chronic inflammatory conditions. By gaining a deeper understanding of C1QTNF9B activity, researchers can develop novel therapies that manipulate immune function in these disease contexts, ultimately improving patient outcomes.
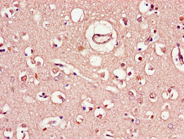
Immunohistochemistry of paraffin-embedded human brain tissue using PACO47866 at dilution of 1:100.
Immunofluorescent analysis of Hela cells using PACO47866 at dilution of 1:100 and Alexa Fluor 488-congugated AffiniPure Goat Anti-Rabbit IgG(H+L).
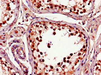
Immunohistochemistry of paraffin-embedded human testis tissue using PACO47866 at dilution of 1:100.
Background:
extracellular exosome
Synonyms:
Complement C1q and tumor necrosis factor-related protein 9B (C1q/TNF-related protein 9B) (CTRP9B) (Complement C1q and tumor necrosis factor-related protein 9-like), C1QTNF9B