The CA3 Antibody (CAB1212) is a high-quality antibody developed for reliable detection and analysis of target proteins. This antibody, produced in rabbits, exhibits high reactivity with human samples and has been validated for use in Western blot applications. By binding specifically to the CA3 protein, this antibody allows for accurate detection and analysis in a variety of cell types, making it ideal for research in fields such as biochemistry and molecular biology.
This antibody is validated for use in WB, IHC-P, ELISA applications and has demonstrated reactivity against Mouse, Rat samples.
Product Name:
CA3 Antibody
SKU:
CAB1212
Size:
20μL, 100μL
Reactivity:
Mouse, Rat
Conjugate:
Unconjugated
Immunogen:
Recombinant protein (or fragment).This information is considered to be commercially sensitive.
Recommended starting concentration is 1 μg/mL. Please optimize the concentration based on your specific assay requirements.
Synonyms:
Car3, CAIII, CA3
Positive Sample:
Mouse kidney, mouse liver, Mouse skeletal muscle
Cellular Localization:
Cytoplasm.
Calculated MW:
30kDa
Observed MW:
30kDa
Carbonic anhydrase III (CAIII) is a member of a multigene family (at least six separate genes are known) that encodes carbonic anhydrase isozymes. These carbonic anhydrases are a class of metalloenzymes that catalyze the reversible hydration of carbon dioxide and are differentially expressed in a number of cell types. The expression of the CA3 gene is strictly tissue specific and present at high levels in skeletal muscle and much lower levels in cardiac and smooth muscle. A proportion of carriers of Duchenne muscle dystrophy have a higher CA3 level than normal. The gene spans 10.3 kb and contains seven exons and six introns.
Purification Method
Affinity purification
Gene ID
761
RRID
AB_2759010
Buffer Information
Store at -20℃. Avoid freeze / thaw cycles. Buffer: PBS containing 50% glycerol, preserved with proclin300 or sodium azide, pH 7.3.
Western blot analysis of lysates from Rat skeletal muscle, using CA3 Rabbit pAb (CAB1212) at 1:1000 dilution. Secondary antibody: HRP-conjugated Goat anti-Rabbit IgG (H+L) (CABS014) at 1:10000 dilution. Lysates/proteins: 25μg per lane. Blocking buffer: 3% nonfat dry milk in TBST. Detection: ECL Basic Kit (AbGn00020). Exposure time: 1s.
Western blot analysis of various lysates using CA3 Rabbit pAb (CAB1212) at 1:1000 dilution. Secondary antibody: HRP-conjugated Goat anti-Rabbit IgG (H+L) (CABS014) at 1:10000 dilution. Lysates/proteins: 25μg per lane. Blocking buffer: 3% nonfat dry milk in TBST. Detection: ECL Basic Kit (AbGn00020). Exposure time: 10s.
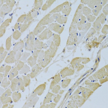
Immunohistochemistry analysis of paraffin-embedded Rat heart using CA3 Rabbit pAb (CAB1212) at dilution of 1:200 (40x lens). Microwave antigen retrieval performed with 0.01M PBS Buffer (pH 7.2) prior to IHC staining.