The E-Cadherin Polyclonal Antibody (CAB3044) is a high-quality antibody developed for reliable detection and analysis of target proteins. This antibody, raised in rabbits, is highly specific and sensitive for detecting Cadherin-1 in human samples, making it ideal for use in Western blot applications. Cadherin-1, also known as E-cadherin, is essential for maintaining tissue integrity and organization, and its dysregulation is associated with carcinogenesis and metastasis in various cancers. By targeting Cadherin-1, researchers can gain insights into the molecular mechanisms underlying tumor progression and potentially discover new therapeutic targets for cancer treatment.
This antibody is validated for use in WB, IHC-P, ELISA applications and has demonstrated reactivity against Human, Mouse, Rat samples.
Product Name:
E-Cadherin Polyclonal Antibody
SKU:
CAB3044
Size:
20μL, 100μL
Reactivity:
Human, Mouse, Rat
Conjugate:
Unconjugated
Immunogen:
Recombinant protein (or fragment).This information is considered to be commercially sensitive.
Cell Junction, Cell Membrane, Endosome, Golgi Apparatus, Single-Pass Type I Membrane Protein, Trans-Golgi Network.
Calculated MW:
97kDa
Observed MW:
125kDa
This gene encodes a classical cadherin of the cadherin superfamily. Alternative splicing results in multiple transcript variants, at least one of which encodes a preproprotein that is proteolytically processed to generate the mature glycoprotein. This calcium-dependent cell-cell adhesion protein is comprised of five extracellular cadherin repeats, a transmembrane region and a highly conserved cytoplasmic tail. Mutations in this gene are correlated with gastric, breast, colorectal, thyroid and ovarian cancer. Loss of function of this gene is thought to contribute to cancer progression by increasing proliferation, invasion, and/or metastasis. The ectodomain of this protein mediates bacterial adhesion to mammalian cells and the cytoplasmic domain is required for internalization. This gene is present in a gene cluster with other members of the cadherin family on chromosome 16.
Purification Method
Affinity purification
Gene ID
999
RRID
AB_2764849
Buffer Information
Store at -20℃. Avoid freeze / thaw cycles. Buffer: PBS containing 50% glycerol, preserved with proclin300 or sodium azide,pH7.3.
Western blot analysis of various lysates using E-Cadherin Rabbit pAb (CAB3044) at 1:1000 dilution. Secondary antibody: HRP-conjugated Goat anti-Rabbit IgG (H+L) (CABS014) at 1:10000 dilution. Lysates/proteins: 25μg per lane. Blocking buffer: 3% nonfat dry milk in TBST. Detection: ECL Basic Kit (AbGn00020). Exposure time: 10s.
Immunohistochemistry analysis of paraffin-embedded Human tonsil using E-Cadherin Rabbit pAb (CAB3044) at dilution of 1:100 (40x lens). Microwave antigen retrieval performed with 0.01M PBS Buffer (pH 7.2) prior to IHC staining.
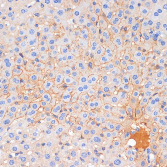
Immunohistochemistry analysis of paraffin-embedded Mouse liver using E-Cadherin Rabbit pAb (CAB3044) at dilution of 1:100 (40x lens). Microwave antigen retrieval performed with 0.01M PBS Buffer (pH 7.2) prior to IHC staining.