The CALHM3 Polyclonal Antibody (PAC037250) is a valuable tool for researchers studying CALHM3, a protein involved in calcium homeostasis and regulation of neuronal activity. This antibody, produced in rabbits, exhibits high reactivity with human samples and has been validated for use in Western blot applications. By binding specifically to the CALHM3 protein, this antibody allows for accurate detection and analysis in a variety of cell types, making it ideal for studies related to neurobiology and neurodegenerative diseases.CALHM3 is a transmembrane protein that plays a crucial role in controlling calcium levels in neurons, thereby influencing synaptic transmission and neuronal excitability.
Dysregulation of CALHM3 function has been linked to various neurological disorders, making it a promising target for research into conditions such as Alzheimer's disease and Parkinson's disease. Investigating the mechanisms by which CALHM3 impacts neuronal function can provide valuable insights into the pathophysiology of these diseases and may lead to the development of novel therapeutic strategies.
Western Blot. All lanes: CALHM3 antibody at 8µg/ml + Mouse kidney tissue. Secondary. Goat polyclonal to rabbit IgG at 1/10000 dilution. Predicted band size: 40, 39 kDa. Observed band size: 40, 55 kDa.
Immunofluorescent analysis of U251 cells using PACO37250 at dilution of 1:100 and Alexa Fluor 488-congugated AffiniPure Goat Anti-Rabbit IgG(H+L).
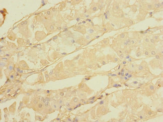
Immunohistochemistry of paraffin-embedded human gastric cancer using PACO37250 at dilution of 1:100.
Background:
Pore-forming subunit of a voltage-gated ion channel.
Synonyms:
Calcium homeostasis modulator protein 3 (Protein FAM26A), CALHM3, FAM26A
UniProt Protein Function:
FAM26A: Belongs to the FAM26 family. 2 isoforms of the human protein are produced by alternative splicing.Protein type: Membrane protein, integral; Membrane protein, multi-passChromosomal Location of Human Ortholog: 10q24.33Cellular Component: integral to plasma membraneMolecular Function: cation channel activity