The CAPZA2 Antibody (CAB2054) is a high-quality antibody developed for reliable detection and analysis of target proteins. This antibody, produced in rabbits, exhibits high reactivity with human samples and has been validated for use in Western blot applications. By binding specifically to the CAPZA2 protein, this antibody enables accurate detection and analysis in a variety of cell types, making it ideal for investigations in cell biology and cancer research.
This antibody is validated for use in WB, IHC-P, ELISA applications and has demonstrated reactivity against Human, Mouse samples.
Product Name:
CAPZA2 Antibody
SKU:
CAB2054
Size:
20μL, 100μL
Reactivity:
Human, Mouse
Conjugate:
Unconjugated
Immunogen:
Recombinant protein (or fragment).This information is considered to be commercially sensitive.
The protein encoded by this gene is a member of the F-actin capping protein alpha subunit family. It is the alpha subunit of the barbed-end actin binding protein Cap Z. By capping the barbed end of actin filaments, Cap Z regulates the growth of the actin filaments at the barbed end.
Purification Method
Affinity purification
Gene ID
830
RRID
AB_2764077
Buffer Information
Store at -20℃. Avoid freeze / thaw cycles. Buffer: PBS with 0.09% Sodium azide,50% glycerol,pH7.3.
Western blot analysis of various lysates using CAPZA2 Rabbit pAb (CAB2054) at 1:1000 dilution. Secondary antibody: HRP-conjugated Goat anti-Rabbit IgG (H+L) (CABS014) at 1:10000 dilution. Lysates/proteins: 25μg per lane. Blocking buffer: 3% nonfat dry milk in TBST.
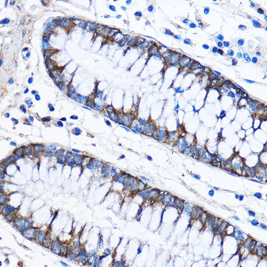
Immunohistochemistry analysis of paraffin-embedded Human colon using CAPZA2 Rabbit pAb (CAB2054) at dilution of 1:50 (40x lens). Microwave antigen retrieval performed with 0.01M PBS Buffer (pH 7.2) prior to IHC staining.