The CARD17 Polyclonal Antibody (PACO19390) offered by AssayGenie is specifically designed for research involving CARD17, a key player in inflammatory and immune responses. This polyclonal antibody, generated in rabbits, exhibits high reactivity with human samples and is validated for use in Western blot applications. By targeting the CARD17 protein, this antibody enables precise detection and analysis in various cell types, making it an ideal tool for studies in immunology and cancer research.CARD17, also known as a CARD domain-containing protein 17, plays a crucial role in inflammatory signaling pathways and immune response regulation. Its significance in mediating immune reactions and inflammation makes it a promising target for research into various diseases, including cancer, autoimmune disorders, and inflammatory conditions.
Understanding the function of CARD17 is essential for developing new therapies that modulate immune responses and treat these diseases effectively.Overall, the CARD17 Polyclonal Antibody from AssayGenie is a valuable tool for researchers seeking to investigate the role of CARD17 in immune regulation and inflammatory processes. Its high reactivity, specificity, and suitability for Western blot applications make it an indispensable resource for advancing knowledge in the fields of immunology and cancer research.
Antibody Name:
CARD17 Antibody (PACO19390)
Antibody SKU:
PACO19390
Size:
50ul
Host Species:
Rabbit
Tested Applications:
ELISA, IHC
Recommended Dilutions:
ELISA:1:1000-1:5000, IHC:1:50-1:200
Species Reactivity:
Human
Immunogen:
Synthetic peptide of human CARD17
Form:
Liquid
Storage Buffer:
-20°C, pH7.4 PBS, 0.05% NaN3, 40% Glycerol
Purification Method:
Antigen affinity purification
Clonality:
Polyclonal
Isotype:
IgG
Conjugate:
Non-conjugated
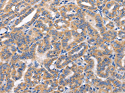
The image on the left is immunohistochemistry of paraffin-embedded Human liver cancer tissue using PACO19390(CARD17 Antibody) at dilution 1/50, on the right is treated with synthetic peptide. (Original magnification: x200).
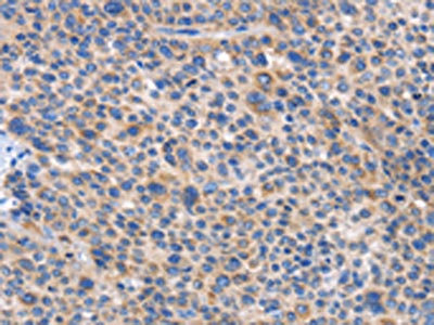
The image on the left is immunohistochemistry of paraffin-embedded Human thyroid cancer tissue using PACO19390(CARD17 Antibody) at dilution 1/50, on the right is treated with synthetic peptide. (Original magnification: x200).
Background:
Regulator of procaspase-1/CASP1 activation implicated in the regulation of the proteolytic maturation of pro-IL-1beta/IL1B and its release during inflammation. Inhibits the release of IL1B in response to LPS in monocytes. However, unlike CASP1, do not induce NF-kappa-B activation.