The delta-Catenin/p120 Catenin Antibody (CAB1641) is a high-quality antibody developed for reliable detection and analysis of target proteins. This antibody, produced in rabbits, is specifically designed for detecting Catenin Delta-1 in human samples, making it an excellent choice for immunoassays and Western blotting experiments.Catenin Delta-1 plays a crucial role in various cellular processes, including cell migration, proliferation, and differentiation. Dysregulation of Catenin Delta-1 has been linked to several diseases, including cancer, making it an important target for research in oncology and cell biology.
This antibody is validated for use in WB, IHC-P, ELISA applications and has demonstrated reactivity against Human, Mouse, Rat samples.
Product Name:
delta-Catenin/p120 Catenin Antibody
SKU:
CAB1641
Size:
20μL, 100μL
Reactivity:
Human, Mouse, Rat
Conjugate:
Unconjugated
Immunogen:
Recombinant protein (or fragment).This information is considered to be commercially sensitive.
This gene encodes a member of the Armadillo protein family, which function in adhesion between cells and signal transduction. Multiple translation initiation codons and alternative splicing result in many different isoforms being translated. Not all of the full-length natures of the described transcript variants have been determined. Read-through transcription also exists between this gene and the neighboring upstream thioredoxin-related transmembrane protein 2 (TMX2) gene.
Purification Method
Affinity purification
Gene ID
1500
RRID
AB_2763699
Buffer Information
Store at -20℃. Avoid freeze / thaw cycles. Buffer: PBS with 0.01% thimerosal,50% glycerol,pH7.3.
Western blot analysis of lysates from HT-29 cells, using δ-Catenin/p120 Catenin Rabbit pAb (CAB1641) at 1:1000 dilution. Secondary antibody: HRP-conjugated Goat anti-Rabbit IgG (H+L) (CABS014) at 1:10000 dilution. Lysates/proteins: 25μg per lane. Blocking buffer: 3% nonfat dry milk in TBST. Detection: ECL Basic Kit (AbGn00020). Exposure time: 10s.
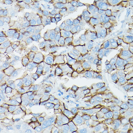
Immunohistochemistry analysis of paraffin-embedded Human liver cancer using δ-Catenin/p120 Catenin Rabbit pAb (CAB1641) at dilution of 1:50 (40x lens). High pressure antigen retrieval performed with 0.01M Citrate buffer (pH 6.0) prior to IHC staining.
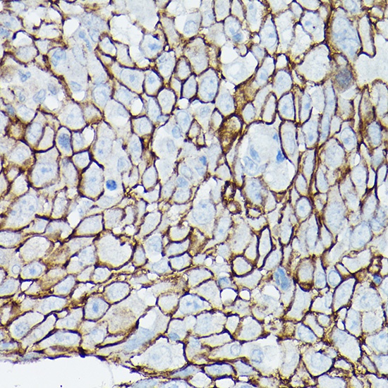
Immunohistochemistry analysis of paraffin-embedded Human urothelial carcinoma using δ-Catenin/p120 Catenin Rabbit pAb (CAB1641) at dilution of 1:50 (40x lens). High pressure antigen retrieval performed with 0.01M Citrate buffer (pH 6.0) prior to IHC staining.
Immunohistochemistry analysis of paraffin-embedded Mouse colon using δ-Catenin/p120 Catenin Rabbit pAb (CAB1641) at dilution of 1:50 (40x lens). High pressure antigen retrieval performed with 0.01M Citrate buffer (pH 6.0) prior to IHC staining.