CATSPER2 Antibody is a premium polyclonal that offers outstanding performance and reliability for demanding research applications. Rigorously validated for ELISA, WB, IHC, IF, this antibody ensures consistent, reproducible results across multiple experimental platforms. Demonstrates excellent reactivity with Human samples, providing researchers with confidence in cross-species compatibility. Conveniently packaged in 50ug format to meet your experimental needs. For optimal performance, store at -20°C or -80°C and maintains stability for 12 months. Backed by rigorous quality control testing to ensure superior performance in your critical research applications.
Product Name:
CATSPER2 Antibody
SKU:
PACO39034
Size:
50μg
Isotype:
IgG
Host Species:
Rabbit
Reactivity:
Human
Immunogen:
Recombinant Human Cation channel sperm-associated protein 2 protein (5-112AA)
Immunogen Species:
Homo sapiens (Human)
Uniprot No:
Q96P56
Form:
Liquid
Tested Applications:
ELISAWBIHCIF
Recommended Dilution:
Application
Recommended Dilution
WB
1:500-1:2000
IHC
1:20-1:200
IF
1:50-1:200
Synonyms:
CATSPER2, Cation channel sperm-associated protein 2, CatSper2
Western blot All lanes: CATSPER2 antibody at 4µg/ml Lane 1: Jurkat whole cell lysate Lane 2: HepG2 whole cell lysate Lane 3: 293T whole cell lysate Secondary Goat polyclonal to rabbit IgG at 1/10000 dilution Predicted band size: 63, 62, 49, 24 kDa Observed band size: 63 kDa
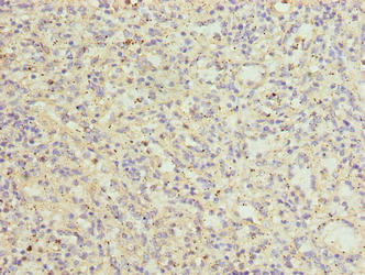
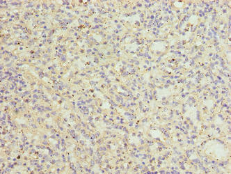
Immunohistochemistry of paraffin-embedded human spleen tissue using PACO39034 at dilution of 1:100
Immunofluorescent analysis of LO2 cells using PACO39034 at dilution of 1:100 and Alexa Fluor 488-congugated AffiniPure Goat Anti-Rabbit IgG(H+L)