CCDC14 Antibody is a premium polyclonal that offers outstanding performance and reliability for demanding research applications. Rigorously validated for ELISA, WB, IHC, this antibody ensures consistent, reproducible results across multiple experimental platforms. Demonstrates excellent reactivity with Human samples, providing researchers with confidence in cross-species compatibility. Conveniently packaged in 50ug format to meet your experimental needs. For optimal performance, store at -20°C or -80°C and maintains stability for 12 months. Backed by rigorous quality control testing to ensure superior performance in your critical research applications.
Product Name:
CCDC14 Antibody (PACO36018)
SKU:
PACO36018
Size:
50μg
Isotype:
IgG
Host Species:
Rabbit
Reactivity:
Human
Immunogen:
Recombinant Human Coiled-coil domain-containing protein 14 protein (159-440AA)
Immunogen Species:
Homo sapiens (Human)
Uniprot No:
Q49A88
Form:
Liquid
Tested Applications:
ELISAWBIHC
Recommended Dilution:
WB 1:500-1:2000, IHC 1:20-1:200
Synonyms:
CCDC14 antibody, Coiled-coil domain-containing protein 14 antibody
Western blot All lanes: CCDC14 antibody at 2µg/ml + Jurkat whole cell lysate Secondary Goat polyclonal to rabbit IgG at 1/10000 dilution Predicted band size: 107, 84, 89, 52, 102 kDa Observed band size: 52 kDa
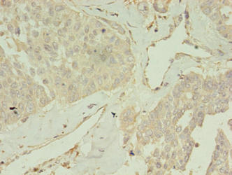
Immunohistochemistry of paraffin-embedded human endometrial cancer using PACO36018 at dilution of 1:100