The CCDC57 Polyclonal Antibody (PACO35882) is a valuable tool for researchers studying the CCDC57 protein, which is involved in various cellular processes. This antibody, produced in rabbits, is highly specific to human samples and has been validated for use in Western blot applications.CCDC57, also known as Coiled-Coil Domain Containing 57, is a protein that plays a role in cell cycle regulation and DNA repair mechanisms. By targeting the CCDC57 protein, this antibody enables researchers to detect and analyze the protein in different cell types, allowing for deeper insights into its function and potential implications in diseases like cancer and genetic disorders.
The CCDC57 Polyclonal Antibody is a reliable reagent for studies in molecular biology, genetics, and oncology, providing researchers with a valuable tool to elucidate the role of CCDC57 in various biological processes. Its high specificity and sensitivity make it an ideal choice for investigating the function of CCDC57 and its potential as a therapeutic target in disease.
Western blot. All lanes: CCDC57 antibody at 1.2µg/ml. Lane 1: PC-3 whole cell lysate. Lane 2: HepG2 whole cell lysate. Secondary. Goat polyclonal to rabbit IgG at 1/10000 dilution. Predicted band size: 104, 86 kDa. Observed band size: 104 kDa.
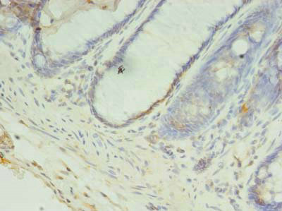
Immunohistochemistry of paraffin-embedded human small intestine tissue using PACO35882 at dilution of 1:100.
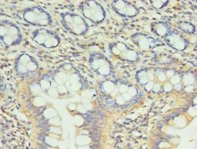
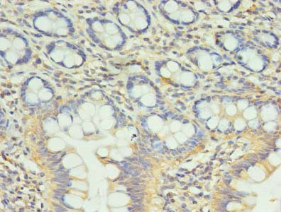
Immunohistochemistry of paraffin-embedded human colon cancer using PACO35882 at dilution of 1:100.
Synonyms:
Coiled-coil domain-containing protein 57, CCDC57
UniProt Protein Function:
CCDC57: 2 isoforms of the human protein are produced by alternative splicing.Chromosomal Location of Human Ortholog: 17q25.3