The CD11b Polyclonal Antibody (CAB23254) is a high-quality antibody developed for reliable detection and analysis of target proteins. This antibody, raised in rabbits, is highly specific and reactive with human samples, making it ideal for use in Western blot applications.CD11b, also known as integrin alpha M, is a crucial component of the Mac-1 integrin receptor expressed on certain immune cell types, including macrophages, monocytes, and neutrophils. Its involvement in cell adhesion, phagocytosis, and migration makes it a central player in the immune response to infections and inflammatory conditions.
This antibody is validated for use in WB, IHC-P, ELISA applications and has demonstrated reactivity against Human, Mouse, Rat samples.
Product Name:
CD11b Polyclonal Antibody
SKU:
CAB23254
Size:
20μL, 100μL
Reactivity:
Human, Mouse, Rat
Conjugate:
Unconjugated
Immunogen:
Recombinant protein (or fragment).This information is considered to be commercially sensitive.
Tested Applications:
WBIHC-PELISA
Recommended Dilution:
WB
1:500 - 1:2000
IHC-P
1:50 - 1:200
ELISA
Recommended starting concentration is 1 μg/mL. Please optimize the concentration based on your specific assay requirements.
Enables complement component C3b binding activity; heparan sulfate proteoglycan binding activity; and heparin binding activity. Contributes to cargo receptor activity. Involved in several processes, including central nervous system development; endocytosis; and positive regulation of neuron death. Acts upstream of or within several processes, including activated T cell proliferation; leukocyte migration; and microglia development. Located in external side of plasma membrane and nucleus. Is integral component of membrane. Part of integrin alphaM-beta2 complex. Is expressed in several structures, including central nervous system; heart; lymphatic vessel; thymus; and yolk sac. Human ortholog(s) of this gene implicated in lupus nephritis. Orthologous to human ITGAM (integrin subunit alpha M).
Purification Method
Affinity purification
Gene ID
16409
Buffer Information
Store at -20℃. Avoid freeze / thaw cycles. Buffer: PBS containing 50% glycerol, preserved with proclin300 or sodium azide, pH 7.3.
Western blot analysis of various lysates, using CD11b Rabbit pAb (CAB23254) at 1:2000 dilution. Secondary antibody: HRP-conjugated Goat anti-Rabbit IgG (H+L) (CABS014) at 1:10000 dilution. Lysates/proteins: 25μg per lane. Blocking buffer: 3% nonfat dry milk in TBST. Detection: ECL Basic Kit (AbGn00020). Exposure time: 10s.
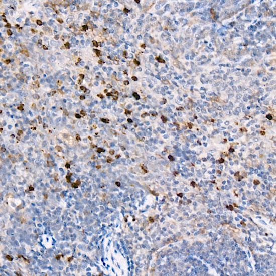
Immunohistochemistry analysis of paraffin-embedded Mouse spleen using CD11b Rabbit pAb (CAB23254) at dilution of 1:100 (40x lens). High pressure antigen retrieval performed with 0.01M Citrate buffer (pH 6.0) prior to IHC staining.