The CD14 Monoclonal Antibody (CAB19011) is a high-quality antibody developed for reliable detection and analysis of target proteins. This antibody, produced in rabbits, exhibits high reactivity with human samples and has been rigorously validated for use in Western blot applications.CD14 plays a crucial role in the activation of immune responses and the detection of pathogens in the body. By targeting the CD14 protein, this antibody enables accurate detection and analysis in various cell types, making it an invaluable asset for studies in immunology, infectious diseases, and inflammation.
This antibody is validated for use in IHC-P, IF/ICC, ELISA, IF-P applications and has demonstrated reactivity against Human samples.
Product Name:
CD14 Monoclonal Antibody
SKU:
CAB19011
Size:
20μL, 100μL
Reactivity:
Human
Clone Number:
ARC0353
Conjugate:
Unconjugated
Immunogen:
Synthetic peptide. This information is considered to be commercially sensitive.
The protein encoded by this gene is a surface antigen that is preferentially expressed on monocytes/macrophages. It cooperates with other proteins to mediate the innate immune response to bacterial lipopolysaccharide, and to viruses. This gene has been identified as a target candidate in the treatment of SARS-CoV-2-infected patients to potentially lessen or inhibit a severe inflammatory response. Alternative splicing results in multiple transcript variants encoding the same protein.
Purification Method
Affinity purification
Gene ID
929
RRID
AB_2862503
Buffer Information
Store at -20℃. Avoid freeze / thaw cycles. Buffer: PBS containing 50% glycerol and 0.05% BSA, preserved with proclin300 or sodium azide, pH 7.3.
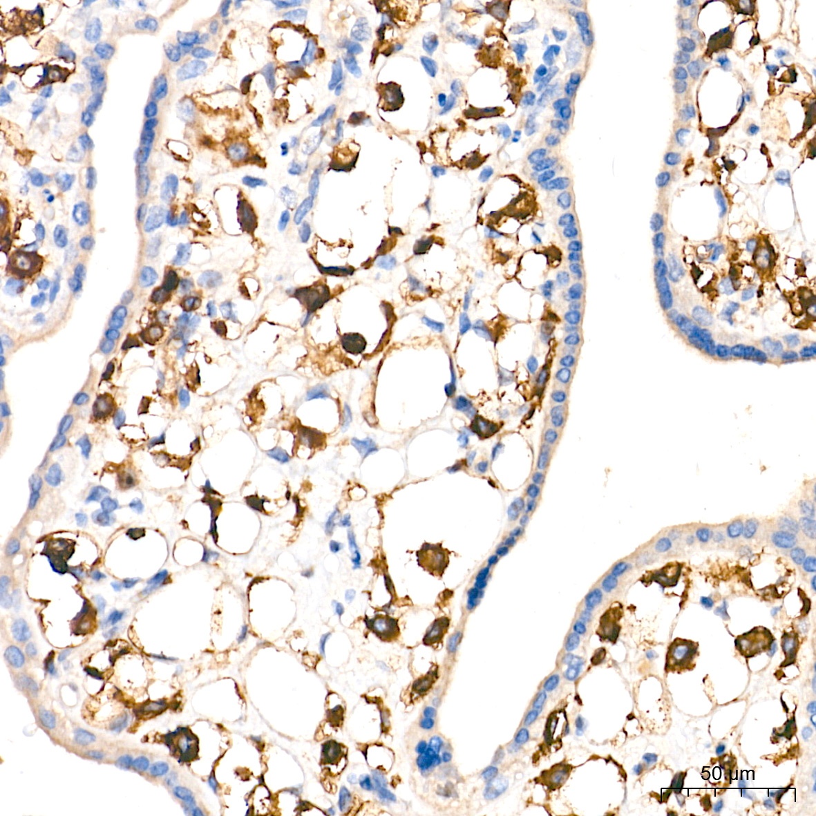
Immunohistochemistry analysis of paraffin-embedded Human placenta tissue using CD14 Rabbit mAb (CAB19011) at a dilution of 1:2000 (40x lens). High pressure antigen retrieval performed with 0.01M Tris-EDTA Buffer (pH 9.0) prior to IHC staining.
Immunohistochemistry analysis of paraffin-embedded Human tonsil tissue using CD14 Rabbit mAb (CAB19011) at a dilution of 1:2000 (40x lens). High pressure antigen retrieval performed with 0.01M Tris-EDTA Buffer (pH 9.0) prior to IHC staining.
Confocal imaging of paraffin-embedded Human tonsil using CD14 Rabbit mAb (CAB19011,dilution 1:100) followed by a further incubation with Cy3 Goat Anti-Rabbit IgG (H+L) (CABS007,dilution 1:500)(Red).DAPI was used for nuclear staining (Blue). Objective: 40x. Perform high pressure antigen retrieval with 0.01 M citRate buffer (pH 6.0) prior to IF staining.