The CD19 Monoclonal Antibody (CAB23506) is a high-quality antibody developed for reliable detection and analysis of target proteins. This monoclonal antibody, developed for use in various research applications, is highly specific for CD19 and has been validated for use in flow cytometry, immunohistochemistry, and Western blotting.CD19 is a crucial protein involved in B cell development, activation, and differentiation, making it a key target for research in immunology and cancer biology. The CD19 Monoclonal Antibody (CAB23506) enables precise detection and analysis of CD19 expression in different cell types, providing researchers with valuable insights into B cell function and dysregulation in diseases such as leukemia, lymphoma, and autoimmune disorders.
This antibody is validated for use in WB, ELISA applications and has demonstrated reactivity against Human, Mouse, Rat samples.
Product Name:
CD19 Monoclonal Antibody
SKU:
CAB23506
Size:
20μL, 100μL
Reactivity:
Human, Mouse, Rat
Clone Number:
ARC2655
Conjugate:
Unconjugated
Immunogen:
Recombinant protein (or fragment).This information is considered to be commercially sensitive.
Tested Applications:
WBELISA
Recommended Dilution:
WB
1:500 - 1:1000
ELISA
Recommended starting concentration is 1 μg/mL. Please optimize the concentration based on your specific assay requirements.
Synonyms:
B4, CVID3, CD19
Positive Sample:
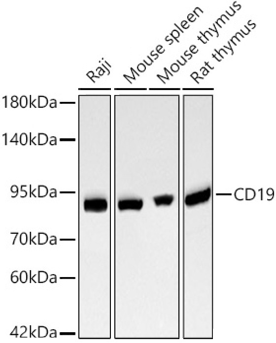
Jurkat, Raji, U-937, Mouse spleen, Mouse thymus, Rat thymus
Cellular Localization:
Membrane, Single-Pass Type I Membrane Protein.
Calculated MW:
61kDa
Observed MW:
95kDa
This gene encodes a member of the immunoglobulin gene superfamily. Expression of this cell surface protein is restricted to B cell lymphocytes. This protein is a reliable marker for pre-B cells but its expression diminishes during terminal B cell differentiation in antibody secreting plasma cells. The protein has two N-terminal extracellular Ig-like domains separated by a non-Ig-like domain, a hydrophobic transmembrane domain, and a large C-terminal cytoplasmic domain. This protein forms a complex with several membrane proteins including complement receptor type 2 (CD21) and tetraspanin (CD81) and this complex reduces the threshold for antigen-initiated B cell activation. Activation of this B-cell antigen receptor complex activates the phosphatidylinositol 3-kinase signalling pathway and the subsequent release of intracellular stores of calcium ions. This protein is a target of chimeric antigen receptor (CAR) T-cells used in the treatment of lymphoblastic leukemia. Mutations in this gene are associated with the disease common variable immunodeficiency 3 (CVID3) which results in a failure of B-cell differentiation and impaired secretion of immunoglobulins. CVID3 is characterized by hypogammaglobulinemia, an inability to mount an antibody response to antigen, and recurrent bacterial infections. Alternative splicing results in multiple transcript variants encoding distinct isoforms.
Purification Method
Affinity purification
Gene ID
930
Buffer Information
Store at -20℃. Avoid freeze / thaw cycles. Buffer: PBS containing 50% glycerol and 0.05% BSA, preserved with proclin300 or sodium azide, pH 7.3.
Western blot analysis of various lysates using CD19 Rabbit mAb (CAB23506) at 1:1000 dilution incubated overnight at 4℃. Secondary antibody: HRP-conjugated Goat anti-Rabbit IgG (H+L) (CABS014) at 1:10000 dilution. Lysates/proteins: 25 μg per lane. Blocking buffer: 3% nonfat dry milk in TBST. Detection: ECL Basic Kit (AbGn00020). Exposure time: 30s.