The CD200 Polyclonal Antibody (CAB23050) is a high-quality antibody developed for reliable detection and analysis of target proteins. This antibody, generated in rabbits, exhibits high reactivity with human samples and has been validated for use in Western blot applications. By specifically binding to the CD200 protein, this antibody allows for the precise detection and analysis of CD200 expression in various cell types, making it an excellent choice for studies in immunology and cancer research.CD200, also referred to as an immune inhibitory molecule, plays a key role in immune regulation by suppressing immune responses and promoting immune tolerance.
This antibody is validated for use in WB, ELISA applications and has demonstrated reactivity against Mouse, Rat samples.
Product Name:
CD200 Polyclonal Antibody
SKU:
CAB23050
Size:
20μL, 100μL
Reactivity:
Mouse, Rat
Conjugate:
Unconjugated
Immunogen:
Recombinant protein (or fragment).This information is considered to be commercially sensitive.
Tested Applications:
WBELISA
Recommended Dilution:
WB
1:500 - 1:1000
ELISA
Recommended starting concentration is 1 μg/mL. Please optimize the concentration based on your specific assay requirements.
Synonyms:
OX2, Mox2, CD200
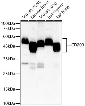
Positive Sample:
Mouse heart, Mouse brain, Mouse lung, Rat thymus, Rat brain
Calculated MW:
31kDa
Observed MW:
45-50kDa
Predicted to enable protein binding activity involved in heterotypic cell-cell adhesion. Involved in negative regulation of cell population proliferation; negative regulation of macrophage activation; and negative regulation of neuroinflammatory response. Located in cell surface. Is expressed in several structures, including anterior naris; aorta; bone; nervous system; and retina. Used to study autoimmune disease. Orthologous to human CD200 (CD200 molecule).
Purification Method
Affinity purification
Gene ID
17470
Buffer Information
Store at -20℃. Avoid freeze / thaw cycles. Buffer: PBS containing 50% glycerol, preserved with proclin300 or sodium azide, pH 7.3.
Western blot analysis of various lysates, using CD200 Rabbit pAb (CAB23050) at 1:700 dilution. Secondary antibody: HRP-conjugated Goat anti-Rabbit IgG (H+L) (CABS014) at 1:10000 dilution. Lysates/proteins: 25μg per lane. Blocking buffer: 3% nonfat dry milk in TBST. Detection: ECL Basic Kit (AbGn00020). Exposure time: 180s.