The CD46 Monoclonal Antibody (CAB19022) is a high-quality antibody developed for reliable detection and analysis of target proteins. This antibody, developed using rabbit monoclonal technology, boasts high specificity and sensitivity in detecting CD46 in human samples. Validated for use in Western blot applications, it enables precise detection and analysis of CD46 in various cell types.CD46, also known as membrane cofactor protein (MCP), plays a pivotal role in immune regulation by controlling the activation of complement system proteins and T cells.
This antibody is validated for use in WB, IHC-P, ELISA applications and has demonstrated reactivity against Human samples.
Product Name:
CD46 Monoclonal Antibody
SKU:
CAB19022
Size:
20μL, 100μL
Reactivity:
Human
Clone Number:
ARC0428
Conjugate:
Unconjugated
Immunogen:
Synthetic peptide. This information is considered to be commercially sensitive.
Recommended starting concentration is 1 μg/mL. Please optimize the concentration based on your specific assay requirements.
Synonyms:
MCP, TLX, AHUS2, MIC10, TRA2.10, CD46
Positive Sample:
HeLa, MCF7, SW480, A549
Cellular Localization:
Cytoplasmic Vesicle, Single-Pass Type I Membrane Protein, Acrosome Inner Membrane, Secretory Vesicle.
Calculated MW:
44kDa
Observed MW:
45-75kDa
The protein encoded by this gene is a type I membrane protein and is a regulatory part of the complement system. The encoded protein has cofactor activity for inactivation of complement components C3b and C4b by serum factor I, which protects the host cell from damage by complement. In addition, the encoded protein can act as a receptor for the Edmonston strain of measles virus, human herpesvirus-6, and type IV pili of pathogenic Neisseria. Finally, the protein encoded by this gene may be involved in the fusion of the spermatozoa with the oocyte during fertilization. Mutations at this locus have been associated with susceptibility to hemolytic uremic syndrome. Alternatively spliced transcript variants encoding different isoforms have been described.
Purification Method
Affinity purification
Gene ID
4179
RRID
AB_2862514
Buffer Information
Store at -20℃. Avoid freeze / thaw cycles. Buffer: PBS containing 50% glycerol and 0.05% BSA, preserved with proclin300 or sodium azide, pH 7.3.
Western blot analysis of various lysates using CD46 Rabbit mAb (CAB19022) at 1:1000 dilution. Secondary antibody: HRP-conjugated Goat anti-Rabbit IgG (H+L) (CABS014) at 1:10000 dilution. Lysates/proteins: 25μg per lane. Blocking buffer: 3% nonfat dry milk in TBST. Detection: ECL Basic Kit (AbGn00020). Exposure time: 3min.
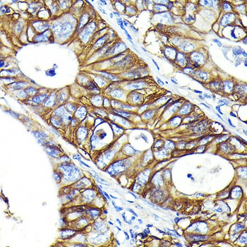
Immunohistochemistry analysis of paraffin-embedded Human colon carcinoma using CD46 Rabbit mAb (CAB19022) at dilution of 1:100 (40x lens). Microwave antigen retrieval performed with 0.01M PBS Buffer (pH 7.2) prior to IHC staining.