The CD74 Monoclonal Antibody (CAB9149) is a high-quality antibody developed for reliable detection and analysis of target proteins. This high-quality antibody, produced in rabbits, exhibits excellent specificity and sensitivity for detecting CD74 in human samples. It has been rigorously validated for use in Western blot applications, enabling precise and reliable analysis of CD74 expression levels.CD74 is a key player in the immune response, serving as a chaperone protein for the MHC class II complex and facilitating antigen presentation to T cells.
This antibody is validated for use in WB, IHC-P, ELISA applications and has demonstrated reactivity against Human samples.
Product Name:
CD74 Monoclonal Antibody
SKU:
CAB9149
Size:
20μL, 100μL
Reactivity:
Human
Clone Number:
ARC1452
Conjugate:
Unconjugated
Immunogen:
Synthetic peptide. This information is considered to be commercially sensitive.
Recommended starting concentration is 1 μg/mL. Please optimize the concentration based on your specific assay requirements.
Synonyms:
II, p33, CLIP, DHLAG, HLADG, Ia-GAMMA, CD74
Positive Sample:
HepG2, Raji
Cellular Localization:
Cell Membrane, Endoplasmic Reticulum Membrane, Endosome, Golgi Apparatus, Lysosome, Single-Pass Type Ii Membrane Protein, Trans-Golgi Network.
Calculated MW:
34kDa
Observed MW:
30-40kDa
The protein encoded by this gene associates with class II major histocompatibility complex (MHC) and is an important chaperone that regulates antigen presentation for immune response. It also serves as cell surface receptor for the cytokine macrophage migration inhibitory factor (MIF) which, when bound to the encoded protein, initiates survival pathways and cell proliferation. This protein also interacts with amyloid precursor protein (APP) and suppresses the production of amyloid beta (Abeta). Multiple alternatively spliced transcript variants encoding different isoforms have been identified.
Purification Method
Affinity purification
Gene ID
972
RRID
AB_2863672
Buffer Information
Store at -20℃. Avoid freeze / thaw cycles. Buffer: PBS containing 50% glycerol and 0.05% BSA, preserved with proclin300 or sodium azide, pH 7.3.
Western blot analysis of various lysates using CD74 Rabbit mAb (CAB9149) at 1:1000 dilution. Secondary antibody: HRP-conjugated Goat anti-Rabbit IgG (H+L) (CABS014) at 1:10000 dilution. Lysates/proteins: 25μg per lane. Blocking buffer: 3% nonfat dry milk in TBST. Detection: ECL Basic Kit (AbGn00020). Exposure time: 90s.
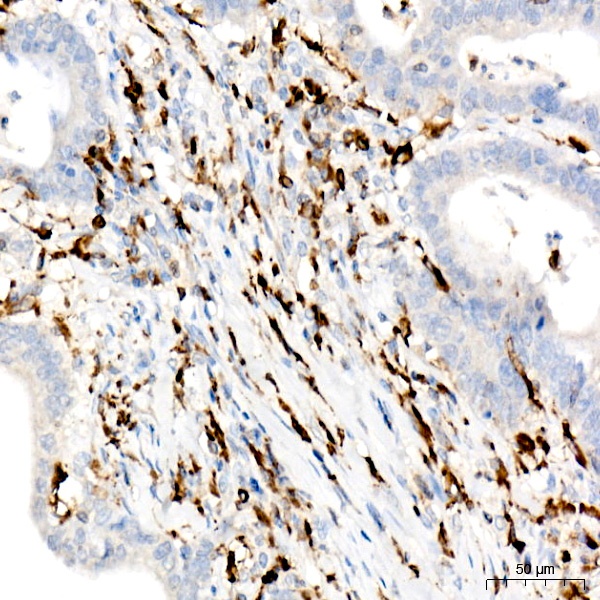
Immunohistochemistry analysis of paraffin-embedded Human colon carcinoma using CD74 Rabbit mAb (CAB9149) at dilution of 1:100 (40x lens). High pressure antigen retrieval performed with 0.01M Tris/EDTA Buffer (pH 9.0) prior to IHC staining.
Immunohistochemistry analysis of paraffin-embedded Human tonsil using CD74 Rabbit mAb (CAB9149) at dilution of 1:100 (40x lens). High pressure antigen retrieval performed with 0.01M Tris/EDTA Buffer (pH 9.0) prior to IHC staining.