CDK11A/CDK11B Antibody is a premium polyclonal that offers outstanding performance and reliability for demanding research applications. Rigorously validated for ELISA, WB, IHC, this antibody ensures consistent, reproducible results across multiple experimental platforms. Demonstrates excellent reactivity with Human, Mouse samples, providing researchers with confidence in cross-species compatibility. Conveniently packaged in 50ul format to meet your experimental needs. For optimal performance, store at -20°C or -80°C and maintains stability for 12 months. Backed by rigorous quality control testing to ensure superior performance in your critical research applications.
Product Name:
CDK11A/CDK11B Antibody
SKU:
PACO19445
Size:
50μl
Isotype:
IgG
Host Species:
Rabbit
Reactivity:
Human, Mouse
Immunogen:
Synthetic peptide of Human CDK11A/CDK11B
Immunogen Species:
Homo sapiens (Human)
Uniprot No:
B7ZVY7
Form:
Liquid
Tested Applications:
ELISAWBIHC
Recommended Dilution:
Application
Recommended Dilution
ELISA
1:2000-1:5000
WB
1:500-1:2000
IHC
1:50-1:200
Target Names:
CDK11A/CDK11B
Storage Buffer:
-20°C, pH7.4 PBS, 0.05% NaN3, 40% Glycerol
Purification:
Antigen affinity purification
Conjugate:
Non-conjugated
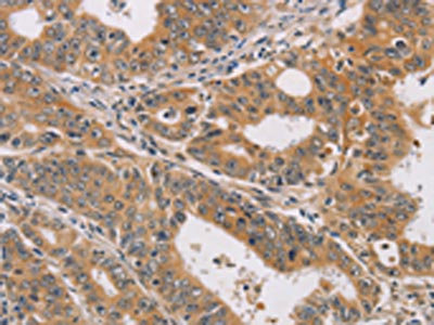
The image on the left is immunohistochemistry of paraffin-embedded Human liver cancer tissue using PACO19445 at dilution 1/40, on the right is treated with synthetic peptide. (Original magnification: ×200)
The image on the left is immunohistochemistry of paraffin-embedded Human gastric cancer tissue using PACO19445 at dilution 1/40, on the right is treated with synthetic peptide. (Original magnification: ×200)
Gel: 6%SDS-PAGE, Lysate: 40 µg, Lane 1-4: Hela cells, hepG2 cells, lovo cells, human colon cancer tissue, Primary antibody: PACO19445 at dilution 1/750, Secondary antibody: Goat anti rabbit IgG at 1/8000 dilution, Exposure time: 1 minute