The CDKN2C/p18-INK4C Monoclonal Antibody (CAB8751) is a high-quality antibody developed for reliable detection and analysis of target proteins. This antibody, produced in rabbits, is highly specific for human CDKN2C and has been validated for use in Western blot, immunohistochemistry, and immunofluorescence applications.CDKN2C, also known as p18 and INK4C, is a key player in regulating cell proliferation and preventing abnormal cell growth. Its dysregulation has been implicated in various cancers, making it a promising target for cancer research and drug development. By using the CDKN2C Rabbit Monoclonal Antibody, researchers can accurately detect and analyze the expression of CDKN2C in different cell types and tissues, providing valuable insights into its function and potential therapeutic applications.
This antibody is validated for use in WB, IF/ICC, ELISA applications and has demonstrated reactivity against Human, Mouse, Rat samples.
Product Name:
CDKN2C/p18-INK4C Monoclonal Antibody
SKU:
CAB8751
Size:
20μL, 100μL
Reactivity:
Human, Mouse, Rat
Clone Number:
ARC1289
Conjugate:
Unconjugated
Immunogen:
Recombinant protein (or fragment).This information is considered to be commercially sensitive.
Recommended starting concentration is 1 μg/mL. Please optimize the concentration based on your specific assay requirements.
Synonyms:
p18, INK4C, p18-INK4C, 4C
Positive Sample:
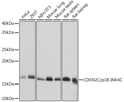
HeLa, 293T, NIH/3T3, Mouse lung, Mouse testis, Rat spleen, Rat kidney
Cellular Localization:
Cytoplasm, Cytosol, Nucleus.
Calculated MW:
18kDa
Observed MW:
18kDa
The protein encoded by this gene is a member of the INK4 family of cyclin-dependent kinase inhibitors. This protein has been shown to interact with CDK4 or CDK6, and prevent the activation of the CDK kinases, thus function as a cell growth regulator that controls cell cycle G1 progression. Ectopic expression of this gene was shown to suppress the growth of human cells in a manner that appears to correlate with the presence of a wild-type RB1 function. Studies in the knockout mice suggested the roles of this gene in regulating spermatogenesis, as well as in suppressing tumorigenesis. Two alternatively spliced transcript variants of this gene, which encode an identical protein, have been reported.
Purification Method
Affinity purification
Gene ID
1031
RRID
AB_2863601
Buffer Information
Store at -20℃. Avoid freeze / thaw cycles. Buffer: PBS containing 50% glycerol and 0.05% BSA, preserved with proclin300 or sodium azide, pH 7.3.
Western blot analysis of various lysates using [KD Validated] CDKN2C/p18-INK4C Rabbit mAb (CAB8751) at 1:1000 dilution. Secondary antibody: HRP-conjugated Goat anti-Rabbit IgG (H+L) (CABS014) at 1:10000 dilution. Lysates/proteins: 25μg per lane. Blocking buffer: 3% nonfat dry milk in TBST. Detection: ECL Basic Kit (AbGn00020). Exposure time: 1s.
Western blot analysis of lysates from wild type(WT) and CDKN2C knockout (KO) 293T cells, using [KD Validated] CDKN2C/p18-INK4C Rabbit mAb (CAB8751) at 1:1000 dilution. Secondary antibody: HRP-conjugated Goat anti-Rabbit IgG (H+L) (CABS014) at 1:10000 dilution. Lysates/proteins: 25μg per lane. Blocking buffer: 3% nonfat dry milk in TBST. Detection: ECL Enhanced Kit (AbGn00021). Exposure time: 180s.