CFAP45 Antibody is a premium polyclonal that offers outstanding performance and reliability for demanding research applications. Rigorously validated for ELISA, IHC, this antibody ensures consistent, reproducible results across multiple experimental platforms. Demonstrates excellent reactivity with Human samples, providing researchers with confidence in cross-species compatibility. Conveniently packaged in 50ul format to meet your experimental needs. For optimal performance, store at -20°C or -80°C and maintains stability for 12 months. Backed by rigorous quality control testing to ensure superior performance in your critical research applications.
Product Name:
CFAP45 Antibody
SKU:
PACO20080
Size:
50μl
Isotype:
IgG
Host Species:
Rabbit
Reactivity:
Human
Immunogen:
Synthetic peptide of Human CFAP45
Immunogen Species:
Homo sapiens (Human)
Uniprot No:
Q9UL16
Form:
Liquid
Tested Applications:
ELISAIHC
Recommended Dilution:
Application
Recommended Dilution
ELISA
1:2000-1:5000
IHC
1:25-1:100
Synonyms:
CCD19_HUMAN antibody, CCDC19 antibody, Coiled coil domain containing 19 antibody, Coiled-coil domain-containing protein 19 antibody, mitochondrial antibody, Nasopharyngeal epithelium specific protein 1 antibody, Nasopharyngeal epithelium-specific protein 1 antibody, NESG1 antibody, OTTHUMP00000033461 antibody, RP11 190A12.6 antibody
Target Names:
CFAP45
Storage Buffer:
-20°C, pH7.4 PBS, 0.05% NaN3, 40% Glycerol
Purification:
Antigen affinity purification
Conjugate:
Non-conjugated
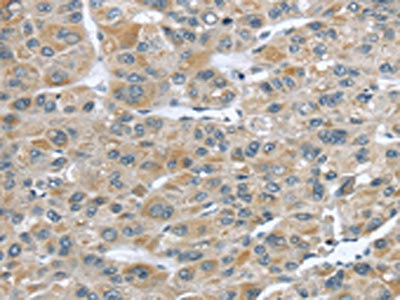
The image on the left is immunohistochemistry of paraffin-embedded Human liver cancer tissue using PACO20080 at dilution 1/25, on the right is treated with synthetic peptide. (Original magnification: ×200)