The CFAP52 Antibody (PACO38778) is a high-quality polyclonal antibody developed for research involving CFAP52, a protein involved in ciliary function and associated with male infertility. This antibody, raised in rabbits, is specifically designed for use in immunofluorescence and immunohistochemistry applications, allowing for the visualization and localization of CFAP52 in various biological samples.CFAP52, a member of the cilia and flagella associated protein family, plays a crucial role in sperm flagellar formation and motility, making it a promising target for studying male reproductive health and infertility. Research into CFAP52 function can provide valuable insights into the molecular mechanisms underlying sperm development and function, as well as potential causes of male infertility.
By utilizing the CFAP52 Antibody (PACO38778), researchers can gain a better understanding of the role of CFAP52 in ciliary biology and male reproductive health, ultimately advancing our knowledge of fertility issues and potential therapeutic strategies for male infertility. This antibody is a valuable tool for investigating the complex mechanisms involved in sperm function and could lead to innovative approaches for diagnosing and treating male infertility.
Western blot. All lanes: CFAP52 antibody at 4µg/ml. Lane 1: HepG2 whole cell lysate. Lane 2: K562 whole cell lysate. Lane 3: U937 whole cell lysate. Lane 4: A549 whole cell lysate. Secondary. Goat polyclonal to rabbit IgG at 1/10000 dilution. Predicted band size: 69, 70, 61 kDa. Observed band size: 69 kDa.
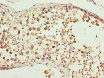
Immunohistochemistry of paraffin-embedded human testis tissue using PACO38778 at dilution of 1:100.
Background:
May play a role in cell growth and/or survival.
Synonyms:
Cilia- and flagella-associated protein 52 (WD repeat-containing protein 16) (WD40-repeat protein up-regulated in HCC), CFAP52, WDR16 WDRPUH
UniProt Protein Function:
WDR16: a cytoplasmic WD40 repeat protein. May play a role in the growth or survival of hepatocellular carcinoma. WD40 repeats are found in a number of eukaryotic proteins that coordinate multi-protein complex assemblies. WD40 proteins are implicated in many functions including adaptor/regulatory modules in signal transduction, pre-mRNA processing and cytoskeleton assembly. Three alternatively spliced human isoforms have been described.Protein type: Unknown functionChromosomal Location of Human Ortholog: 17p13.1Molecular Function: protein binding
UniProt Protein Details:
NCBI Summary:
WD repeat-containing proteins, such as WDR16, play crucial roles in a wide range of physiologic functions, including signal transduction, RNA processing, remodeling the cytoskeleton, regulation of vesicular traffic, and cell division (Silva et al., 2005 [PubMed 15967112]).[supplied by OMIM, Mar 2008]