The CHAT Polyclonal Antibody (CAB16818) is a valuable tool for researchers studying the CHAT protein, which is involved in various biological processes including neurotransmission and cell signaling. This antibody, produced in rabbits, exhibits high reactivity with human samples and is suitable for use in Western blot applications. By specifically binding to the CHAT protein, this antibody enables accurate detection and analysis in a variety of cell types, making it an ideal choice for studies within the fields of neuroscience, pharmacology, and neurology.CHAT, also known as choline acetyltransferase, is a key enzyme involved in the synthesis of the neurotransmitter acetylcholine.
As such, CHAT plays a critical role in the nervous system and has been implicated in conditions such as Alzheimer's disease, Parkinson's disease, and schizophrenia. By studying the function and regulation of CHAT, researchers can gain insight into the underlying mechanisms of these neurological disorders and potentially identify new therapeutic targets for drug development. The CHAT Polyclonal Antibody is a valuable resource for advancing our understanding of CHAT and its implications in health and disease.
Product Name:
CHAT Rabbit Polyclonal Antibody
SKU:
CAB16818
Size:
20uL, 100uL
Isotype:
IgG
Host Species:
Rabbit
Reactivity:
Human,Mouse,Rat
Immunogen:
Recombinant fusion protein containing a sequence corresponding to amino acids 331-630 of human CHAT (NP_065574.4).
This gene encodes an enzyme which catalyzes the biosynthesis of the neurotransmitter acetylcholine. This gene product is a characteristic feature of cholinergic neurons, and changes in these neurons may explain some of the symptoms of Alzheimer's disease. Polymorphisms in this gene have been associated with Alzheimer's disease and mild cognitive impairment. Mutations in this gene are associated with congenital myasthenic syndrome associated with episodic apnea. Multiple transcript variants encoding different isoforms have been found for this gene, and some of these variants have been shown to encode more than one isoform.
Purification Method:
Affinity purification
Gene ID:
1103
Storage Buffer:
Store at -20℃. Avoid freeze / thaw cycles.Buffer: PBS with 0.01% thimerosal,50% glycerol,pH7.3.
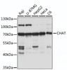
Western blot analysis of various lysates, using CHAT Rabbit pAb (CAB16818) at 1:1000 dilution.Secondary antibody: HRP Goat Anti-Rabbit IgG (H+L) (CABS014) at 1:10000 dilution.Lysates/proteins: 25μg per lane.Blocking buffer: 3% nonfat dry milk in TBST.Detection: ECL Basic Kit (AbGn00020).Exposure time: 5s.