The CHRNA1 Antibody (CAB5306) is a high-quality antibody developed for reliable detection and analysis of target proteins. This antibody, raised in rabbits, exhibits high reactivity with human samples and has been validated for use in Western blot applications. By specifically binding to the CHRNA1 protein, this antibody enables the detection and analysis of CHRNA1 in various cell types, making it ideal for studies in neuroscience, neurobiology, and pharmacology.The CHRNA1 protein is essential for the function of nicotinic acetylcholine receptors, which play a critical role in neurotransmission and synaptic signaling.
This antibody is validated for use in WB, IHC-P, ELISA, IF-P applications and has demonstrated reactivity against Human, Mouse samples.
Product Name:
CHRNA1 Antibody
SKU:
CAB5306
Size:
20μL, 100μL
Reactivity:
Human, Mouse
Conjugate:
Unconjugated
Immunogen:
Recombinant protein (or fragment).This information is considered to be commercially sensitive.
The muscle acetylcholine receptor consiststs of 5 subunits of 4 different types: 2 alpha subunits and 1 each of the beta, gamma, and delta subunits. This gene encodes an alpha subunit that plays a role in acetlycholine binding/channel gating. Alternatively spliced transcript variants encoding different isoforms have been identified.
Purification Method
Affinity purification
Gene ID
1134
RRID
AB_2766118
Buffer Information
Store at -20℃. Avoid freeze / thaw cycles. Buffer: PBS containing 50% glycerol, preserved with proclin300 or sodium azide, pH 7.3.
Western blot analysis of various lysates using CHRNA1 Rabbit pAb (CAB5306) at 1:1000 dilution. Secondary antibody: HRP-conjugated Goat anti-Rabbit IgG (H+L) (CABS014) at 1:10000 dilution. Lysates/proteins: 25μg per lane. Blocking buffer: 3% nonfat dry milk in TBST. Detection: ECL Basic Kit (AbGn00020). Exposure time: 90s.
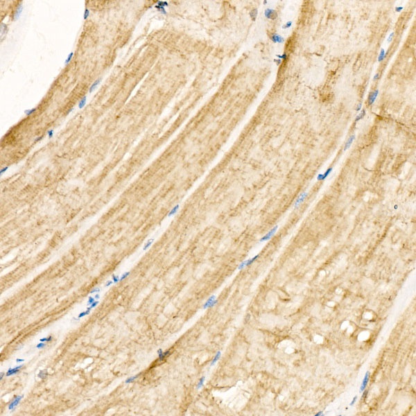
Immunohistochemistry analysis of paraffin-embedded Human skeletal muscle tissue using CHRNA1 Rabbit pAb (CAB5306) at a dilution of 1:100 (40x lens). High pressure antigen retrieval was performed with 0.01 M citrate buffer (pH 6.0) prior to IHC staining.