The CIRBP Antibody (CAB6080) is a high-quality antibody developed for reliable detection and analysis of target proteins. This antibody, produced in rabbits, exhibits high reactivity with human samples and has been validated for use in Western blot applications.CIRBP plays a critical role in the response to cold stress, regulating gene expression and promoting cell survival under adverse conditions. Its involvement in stress adaptation and cellular protection makes it a key target for research in fields such as cellular biology, stress physiology, and cancer biology.
This antibody is validated for use in WB, IHC-P, ELISA applications and has demonstrated reactivity against Human, Mouse, Rat samples.
Product Name:
CIRBP Antibody
SKU:
CAB6080
Size:
20μL, 100μL
Reactivity:
Human, Mouse, Rat
Conjugate:
Unconjugated
Immunogen:
Recombinant protein (or fragment).This information is considered to be commercially sensitive.
Recommended starting concentration is 1 μg/mL. Please optimize the concentration based on your specific assay requirements.
Synonyms:
CIRP, CIRBP
Positive Sample:
Rat testis
Cellular Localization:
Cytoplasm, Nucleus, Nucleoplasm.
Calculated MW:
19kDa
Observed MW:
18kDa
Enables mRNA 3'-UTR binding activity and small ribosomal subunit rRNA binding activity. Involved in mRNA stabilization; positive regulation of translation; and response to UV. Located in cytoplasm and nucleoplasm.
Purification Method
Affinity purification
Gene ID
1153
RRID
AB_2766740
Buffer Information
Store at -20℃. Avoid freeze / thaw cycles. Buffer: PBS containing 50% glycerol, preserved with proclin300 or sodium azide, pH 7.3.
Western blot analysis of lysates from Rat testis, using CIRBP Rabbit pAb (CAB6080) at 1:1000 dilution. Secondary antibody: HRP-conjugated Goat anti-Rabbit IgG (H+L) (CABS014) at 1:10000 dilution. Lysates/proteins: 25μg per lane. Blocking buffer: 3% nonfat dry milk in TBST. Detection: ECL Basic Kit (AbGn00020). Exposure time: 180s.
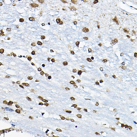
Immunohistochemistry analysis of paraffin-embedded Rat brain using CIRBP Rabbit pAb (CAB6080) at dilution of 1:100 (40x lens). Microwave antigen retrieval performed with 0.01M PBS Buffer (pH 7.2) prior to IHC staining.
Immunohistochemistry analysis of paraffin-embedded Human placenta using CIRBP Rabbit pAb (CAB6080) at dilution of 1:100 (40x lens). Microwave antigen retrieval performed with 0.01M PBS Buffer (pH 7.2) prior to IHC staining.