The CLN8 Antibody (CAB16843) is a high-quality antibody developed for reliable detection and analysis of target proteins. This antibody, generated in rabbits, exhibits strong reactivity with human samples and has been validated for use in immunohistochemistry and ELISA applications. It specifically targets the CLN8 protein, allowing for accurate detection and analysis in various tissues and cell types, making it an essential reagent for investigations in neuroscience and rare genetic diseases.CLN8, a member of the CLN gene family, plays a crucial role in lysosomal function and lipid metabolism within neurons. Mutations in the CLN8 gene have been linked to neuronal ceroid lipofuscinosis, a group of disorders characterized by the buildup of lipofuscin in cells, leading to neurological decline.
This antibody is validated for use in WB, IHC-P, ELISA applications and has demonstrated reactivity against Human samples.
Product Name:
CLN8 Antibody
SKU:
CAB16843
Size:
20μL, 100μL
Reactivity:
Human
Immunogen:
Synthetic peptide. This information is considered to be commercially sensitive.
Recommended starting concentration is 1 μg/mL. Please optimize the concentration based on your specific assay requirements.
Synonyms:
EPMR, TLCD6, C8orf61, CLN8
Positive Sample:
SKOV3, LO2, HeLa, K-562
Cellular Localization:
Endoplasmic Reticulum, Mitochondrion, Presynapse.
Calculated MW:
33kDa
Observed MW:
33kDa
This gene encodes a transmembrane protein belonging to a family of proteins containing TLC domains, which are postulated to function in lipid synthesis, transport, or sensing. The protein localizes to the endoplasmic reticulum (ER), and may recycle between the ER and ER-Golgi intermediate compartment. Mutations in this gene are associated with a disorder characterized by progressive epilepsy with cognitive disabilities (EPMR), which is a subtype of neuronal ceroid lipofuscinoses (NCL). Patients with mutations in this gene have altered levels of sphingolipid and phospholipids in the brain.
Purification Method
Affinity purification
Gene ID
2055
RRID
AB_2768955
Buffer Information
Store at -20℃. Avoid freeze / thaw cycles. Buffer: PBS with 0.01% thimerosal,50% glycerol,pH7.3.
Western blot analysis of various lysates using CLN8 Rabbit pAb (CAB16843) at 1:1000 dilution. Secondary antibody: HRP-conjugated Goat anti-Rabbit IgG (H+L) (CABS014) at 1:10000 dilution. Lysates/proteins: 25μg per lane. Blocking buffer: 3% nonfat dry milk in TBST. Detection: ECL Enhanced Kit (AbGn00021). Exposure time: 90s.
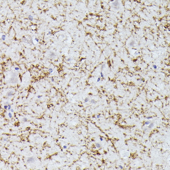
Immunohistochemistry analysis of paraffin-embedded Human brain using CLN8 Rabbit pAb (CAB16843) at dilution of 1:300 (40x lens). High pressure antigen retrieval performed with 0.01M Citrate buffer (pH 6.0) prior to IHC staining.