The CLU Antibody (CAB12913) is a high-quality antibody developed for reliable detection and analysis of target proteins. This highly reactive antibody, produced in rabbits, is specifically designed for use in detecting CLU in human samples through Western blot applications. By binding to the CLU protein, this antibody enables researchers to analyze and track CLU expression in different cell types.CLU, also known as apolipoprotein J, is a multifunctional protein with roles in cell apoptosis, lipid metabolism, and protein folding. Its involvement in processes like cell differentiation and tissue remodeling makes it a key player in various diseases, including cancer, Alzheimer's disease, and cardiovascular disorders.
This antibody is validated for use in WB, IHC-P, ELISA applications and has demonstrated reactivity against Human, Mouse, Rat samples.
Product Name:
CLU Antibody
SKU:
CAB12913
Size:
20μL, 100μL
Reactivity:
Human, Mouse, Rat
Conjugate:
Unconjugated
Immunogen:
Recombinant protein (or fragment).This information is considered to be commercially sensitive.
The protein encoded by this gene is a secreted chaperone that can under some stress conditions also be found in the cell cytosol. It has been suggested to be involved in several basic biological events such as cell death, tumor progression, and neurodegenerative disorders. Alternate splicing results in both coding and non-coding variants.
Purification Method
Affinity purification
Gene ID
1191
RRID
AB_2759758
Buffer Information
Store at -20℃. Avoid freeze / thaw cycles. Buffer: PBS with 0.01% thimerosal,50% glycerol,pH7.3.
Western blot analysis of various lysates using Clusterin alpha chain Rabbit pAb (CAB12913) at 1:1000 dilution. Secondary antibody: HRP-conjugated Goat anti-Rabbit IgG (H+L) (CABS014) at 1:10000 dilution. Lysates/proteins: 25μg per lane. Blocking buffer: 3% nonfat dry milk in TBST. Detection: ECL Basic Kit (AbGn00020). Exposure time: 5s.
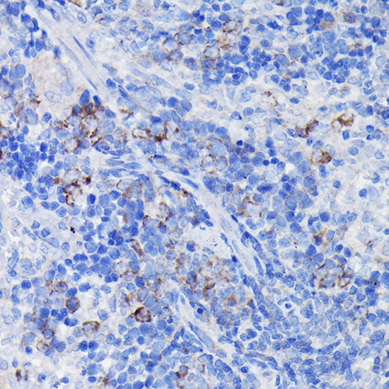
Immunohistochemistry analysis of paraffin-embedded Rat spleen using Clusterin alpha chain Rabbit pAb (CAB12913) at dilution of 1:100 (40x lens). High pressure antigen retrieval performed with 0.01M Citrate buffer (pH 6.0) prior to IHC staining.
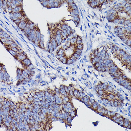
Immunohistochemistry analysis of paraffin-embedded Human colon carcinoma using Clusterin alpha chain Rabbit pAb (CAB12913) at dilution of 1:100 (40x lens). High pressure antigen retrieval performed with 0.01M Citrate buffer (pH 6.0) prior to IHC staining.
Immunohistochemistry analysis of paraffin-embedded Human esophageal using Clusterin alpha chain Rabbit pAb (CAB12913) at dilution of 1:100 (40x lens). High pressure antigen retrieval performed with 0.01M Citrate buffer (pH 6.0) prior to IHC staining.