The CNIH2 Polyclonal Antibody (PAC036978) is a valuable tool for researchers studying CNIH2, a protein involved in synaptic transmission and plasticity. This rabbit polyclonal antibody is highly specific to human samples and is suitable for Western blot applications. By targeting the CNIH2 protein, this antibody enables accurate detection and analysis in various cell types, making it an essential component for studies in neuroscience and neurobiology.CNIH2, also known as cornichon homolog 2, plays a crucial role in modulating AMPA receptor function, impacting synaptic strength and plasticity. The dysregulation of CNIH2 has been implicated in various neurological disorders, making it a promising target for therapeutic interventions.
Understanding the function of CNIH2 is essential for developing treatments for conditions such as epilepsy, Alzheimer's disease, and other cognitive disorders.Overall, the CNIH2 Polyclonal Antibody (PAC036978) is a reliable tool for researchers seeking to investigate the role of CNIH2 in neurological function and disease. Its specificity and sensitivity make it a valuable resource for advancing our understanding of synaptic transmission and exploring potential therapeutic strategies for neurological conditions.
Western blot. All lanes: CNIH2 antibody at 2µg/ml. Lane 1: U251 whole cell lysate. Lane 2: Mouse liver tissue. Lane 3: Mouse kidney tissue. Secondary. Goat polyclonal to rabbit IgG at 1/10000 dilution. Predicted band size: 19 kDa. Observed band size: 19 kDa.
Immunofluorescent analysis of A549 cells using PACO36978 at dilution of 1:100 and Alexa Fluor 488-congugated AffiniPure Goat Anti-Rabbit IgG(H+L).
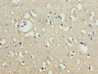
Immunohistochemistry of paraffin-embedded human brain tissue using PACO36978 at dilution of 1:100.
Background:
Regulates the trafficking and gating properties of AMPA-selective glutamate receptors (AMPARs). Promotes their targeting to the cell membrane and synapses and modulates their gating properties by regulating their rates of activation, deactivation and desensitization. Blocks CACNG8-mediated resensitization of AMPA receptors.
Synonyms:
Protein cornichon homolog 2 (CNIH-2) (Cornichon family AMPA receptor auxiliary protein 2) (Cornichon-like protein), CNIH2, CNIL
UniProt Protein Function:
CNIH2: Regulates the trafficking and gating properties of AMPA- selective glutamate receptors (AMPARs). Promotes their targeting to the cell membrane and synapses and modulates their gating properties by regulating their rates of activation, deactivation and desensitization. Blocks CACNG8-mediated resensitization of AMPA receptors. Belongs to the cornichon family.Protein type: Membrane protein, multi-pass; Membrane protein, integralChromosomal Location of Human Ortholog: 11q13.2Cellular Component: dendrite; dendritic shaft; dendritic spine; endoplasmic reticulum membrane; ER-Golgi intermediate compartment membrane; postsynaptic density; postsynaptic membraneMolecular Function: protein bindingBiological Process: COPII coating of Golgi vesicle; ER to Golgi vesicle-mediated transport
UniProt Protein Details:
NCBI Summary:
The protein encoded by this gene is an auxiliary subunit of the ionotropic glutamate receptor of the AMPA subtype. AMPA receptors mediate fast synaptic neurotransmission in the central nervous system. This protein has been reported to interact with the Type I AMPA receptor regulatory protein isoform gamma-8 to control assembly of hippocampal AMPA receptor complexes, thereby modulating receptor gating and pharmacology. Alternative splicing results in multiple transcript variants. [provided by RefSeq, Aug 2012]