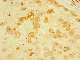
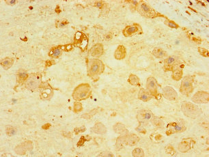
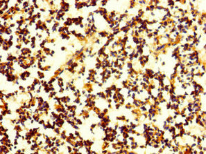
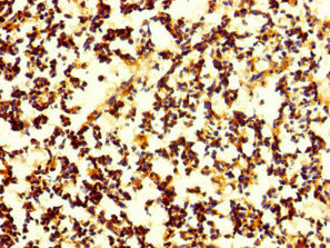
CNPY4 Antibody is a premium polyclonal that offers outstanding performance and reliability for demanding research applications. Rigorously validated for ELISA, IHC, this antibody ensures consistent, reproducible results across multiple experimental platforms. Demonstrates excellent reactivity with Human samples, providing researchers with confidence in cross-species compatibility. Conveniently packaged in 50ug format to meet your experimental needs. For optimal performance, store at -20°C or -80°C and maintains stability for 12 months. Backed by rigorous quality control testing to ensure superior performance in your critical research applications.
Product Name:
CNPY4 Antibody
SKU:
PACO39058
Size:
50μg
Isotype:
IgG
Host Species:
Rabbit
Reactivity:
Human
Immunogen:
Recombinant Human Protein canopy homolog 4 protein (22-248AA)
Immunogen Species:
Homo sapiens (Human)
Uniprot No:
Q8N129
Form:
Liquid
Tested Applications:
ELISAIHC
Recommended Dilution:
Application
Recommended Dilution
IHC
1:20-1:200
Synonyms:
Canopy 4 homolog (zebrafish) antibody, Cnpy4 antibody, CNPY4_HUMAN antibody, PRAT4B antibody, PRotein Associated with Tlr4 antibody, Protein canopy homolog 4 antibody, PSEC0237 antibody