Description
COLEC10 Antibody (PACO42650)
The COLEC10 Antibody (PAC042650) is a polyclonal antibody designed for research involving COLEC10, a key protein involved in innate immune response. The antibody, produced in rabbits, demonstrates high reactivity with human samples and is validated for use in Western blot applications. It specifically binds to the COLEC10 protein, allowing for accurate detection and analysis in various cell types, making it an ideal tool for studies in immunology and infectious disease research.COLEC10, also known as Collectin-10, plays a critical role in innate immune defense by recognizing and binding to microbial pathogens, leading to their neutralization and clearance from the body.
Its importance in host defense mechanisms highlights its potential as a target for research into infectious diseases and immune system function. Understanding the function of COLEC10 can provide valuable insights into host-pathogen interactions and aid in the development of novel therapies for combating infectious diseases.
| Antibody Name: | COLEC10 Antibody (PACO42650) |
| Antibody SKU: | PACO42650 |
| Size: | 50ug |
| Host Species: | Rabbit |
| Tested Applications: | ELISA, IHC |
| Recommended Dilutions: | ELISA:1:2000-1:10000, IHC:1:200-1:500 |
| Species Reactivity: | Human |
| Immunogen: | Recombinant Human Collectin-10 protein (28-277AA) |
| Form: | Liquid |
| Storage Buffer: | Preservative: 0.03% Proclin 300 Constituents: 50% Glycerol, 0.01M PBS, PH 7.4 |
| Purification Method: | >95%, Protein G purified |
| Clonality: | Polyclonal |
| Isotype: | IgG |
| Conjugate: | Non-conjugated |
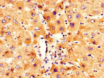
![]() | IHC image of PACO42650 diluted at 1:300 and staining in paraffin-embedded human liver tissue performed on a Leica BondTM system. After dewaxing and hydration, antigen retrieval was mediated by high pressure in a citrate buffer (pH 6.0). Section was blocked with 10% normal goat serum 30min at RT. Then primary antibody (1% BSA) was incubated at 4°C overnight. The primary is detected by a biotinylated secondary antibody and visualized using an HRP conjugated SP system. |
![]() | IHC image of PACO42650 diluted at 1:300 and staining in paraffin-embedded human adrenal gland tissue performed on a Leica BondTM system. After dewaxing and hydration, antigen retrieval was mediated by high pressure in a citrate buffer (pH 6.0). Section was blocked with 10% normal goat serum 30min at RT. Then primary antibody (1% BSA) was incubated at 4°C overnight. The primary is detected by a biotinylated secondary antibody and visualized using an HRP conjugated SP system. |
| Background: | Lectin that binds to various sugars: galactose > mannose = fucose > N-acetylglucosamine > N-acetylgalactosamine. |
| Synonyms: | Collectin-10 (Collectin liver protein 1) (CL-L1) (Collectin-34) (CL-34), COLEC10, CLL1 |
| UniProt Protein Function: | COLEC10: Lectin that binds to various sugars: galactose > mannose = fucose > N-acetylglucosamine > N-acetylgalactosamine. Belongs to the COLEC10/COLEC11 family. |
| UniProt Protein Details: | Protein type:Secreted; Secreted, signal peptide Chromosomal Location of Human Ortholog: 8q24.12 Cellular Component: collagen; cytoplasm; extracellular region; extracellular space; Golgi apparatus Molecular Function:chemoattractant activity; mannose binding; serine-type endopeptidase activity Biological Process: complement activation; complement activation, lectin pathway; positive chemotaxis; proteolysis Disease: 3mc Syndrome 3 |
| NCBI Summary: | This gene encodes a member of the C-lectin family, proteins that possess collagen-like sequences and carbohydrate recognition domains. The other members of this family are secreted proteins and bind to carbohydrate antigens on microorganisms facilitating their recognition and removal. This gene product is a cytosolic protein, a characteristic that suggests that it may have different biological functions than other C-lectins. [provided by RefSeq, Jul 2008] |
| UniProt Code: | Q9Y6Z7 |
| NCBI GenInfo Identifier: | 1022943309 |
| NCBI Gene ID: | 10584 |
| NCBI Accession: | NP_001311024.1 |
| UniProt Secondary Accession: | Q9Y6Z7,Q3SYH6, Q6UW19, |
| UniProt Related Accession: | Q9Y6Z7 |
| Molecular Weight: | |
| NCBI Full Name: | collectin-10 isoform 2 |
| NCBI Synonym Full Names: | collectin subfamily member 10 |
| NCBI Official Symbol: | COLEC10Â Â |
| NCBI Official Synonym Symbols: | 3MC3; CLL1; CL-34Â Â |
| NCBI Protein Information: | collectin-10 |
| UniProt Protein Name: | Collectin-10 |
| UniProt Synonym Protein Names: | Collectin liver protein 1; CL-L1; Collectin-34; CL-34 |
| UniProt Gene Name: | COLEC10Â Â |
| ELISA Kits |
| Human COLEC10 / Collectin Liver 1 ELISA Kit |
| Human CLL1 (Collectin Liver 1) ELISA Kit (HUES01927) |
| Secondary Antibody |
| Anti-HRP Goat Anti-Rabbit IgG (H+L) Antibody (CABS014) |
| Recommended Products |
| Anti-FITC Goat Anti-Rabbit IgG (H+L) Antibody (CABS011) |
| Anti-HRP-conjugated Beta Actin Antibody (CABC028) |

