The CPXCR1 Polyclonal Antibody (PAC038218) is a valuable tool for researchers studying CPXCR1, a protein involved in cellular processes related to cancer and inflammation. This antibody, produced in rabbits, demonstrates high reactivity with human samples and has been validated for Western blot applications. By targeting CPXCR1, this antibody enables the detection and analysis of the protein in various cell types, making it ideal for investigations in oncology and immunology.
CPXCR1 plays a critical role in regulating cellular pathways associated with cancer progression and inflammatory responses. As a target of interest in research on diseases such as cancer and inflammatory disorders, CPXCR1 holds promise for the development of new therapeutic strategies. Understanding the function and regulation of CPXCR1 is essential for advancing our knowledge of these diseases and potentially identifying novel treatment approaches.
Western blot. All lanes: CPXCR1 antibody at 5µg/ml + Mouse brain tissue. Secondary. Goat polyclonal to rabbit IgG at 1/10000 dilution. Predicted band size: 35 kDa. Observed band size: 35 kDa.
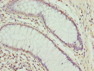
Immunohistochemistry of paraffin-embedded human colon cancer using PACO38218 at dilution of 1:100.
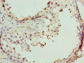
Immunohistochemistry of paraffin-embedded human testis tissue using PACO38218 at dilution of 1:100.
Synonyms:
CPX chromosomal region candidate gene 1 protein (Cancer/testis antigen 77) (CT77), CPXCR1
UniProt Protein Function:
UniProt Protein Details:
NCBI Summary:
This gene is one of several genes identified in a region of the X chromosome associated with an X-linked cleft palate (CPX) disorder. The encoded protein contains a motif similar to a motif found in zinc-finger proteins. Mutation analysis of this gene has not revealed any mutation which causes the CPX disorder. Multiple alternatively spliced variants, encoding the same protein, have been identified. [provided by RefSeq, Sep 2011]