The CRACR2A Antibody (CAB13838) is a high-quality antibody developed for reliable detection and analysis of target proteins. This antibody, produced in rabbits, exhibits high specificity and sensitivity in detecting CRACR2A in human samples, making it ideal for Western blot applications. By binding to CRACR2A, this antibody enables precise identification and analysis of CRACR2A expression in various cell types, facilitating studies in cellular signaling, calcium homeostasis, and immune responses.CRACR2A, also known as CRAC regulator 2A, is an essential component in calcium signaling pathways that play a crucial role in T cell activation and immune response regulation.
This antibody is validated for use in WB, IHC-P, ELISA applications and has demonstrated reactivity against Human, Mouse samples.
Product Name:
CRACR2A Antibody
SKU:
CAB13838
Size:
20μL, 100μL
Reactivity:
Human, Mouse
Conjugate:
Unconjugated
Immunogen:
Recombinant protein (or fragment).This information is considered to be commercially sensitive.
Recommended starting concentration is 1 μg/mL. Please optimize the concentration based on your specific assay requirements.
Synonyms:
RAB46, EFCAB4B, CRACR2A
Positive Sample:
Mouse liver
Cellular Localization:
Cytoplasm.
Calculated MW:
83kDa
Observed MW:
45kDa
Enables GTPase activity and calcium ion binding activity. Involved in several processes, including activation of store-operated calcium channel activity; positive regulation of JNK cascade; and store-operated calcium entry. Located in several cellular components, including Golgi apparatus; Weibel-Palade body; and immunological synapse.
Purification Method
Affinity purification
Gene ID
84766
RRID
AB_2760691
Buffer Information
Store at -20℃. Avoid freeze / thaw cycles. Buffer: PBS with 0.01% thimerosal,50% glycerol,pH7.3.
Western blot analysis of lysates from mouse liver, using CRACR2A Rabbit pAb (CAB13838) at 1:3000 dilution. Secondary antibody: HRP-conjugated Goat anti-Rabbit IgG (H+L) (CABS014) at 1:10000 dilution. Lysates/proteins: 25μg per lane. Blocking buffer: 3% nonfat dry milk in TBST. Detection: ECL Basic Kit (AbGn00020). Exposure time: 90s.
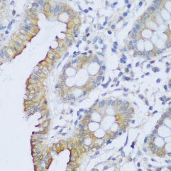
Immunohistochemistry analysis of paraffin-embedded Human colon using CRACR2A Rabbit pAb (CAB13838) at dilution of 1:150 (40x lens). Microwave antigen retrieval performed with 0.01M PBS Buffer (pH 7.2) prior to IHC staining.
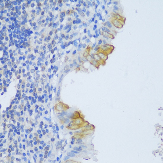
Immunohistochemistry analysis of paraffin-embedded Human appendix using CRACR2A Rabbit pAb (CAB13838) at dilution of 1:150 (40x lens). Microwave antigen retrieval performed with 0.01M PBS Buffer (pH 7.2) prior to IHC staining.
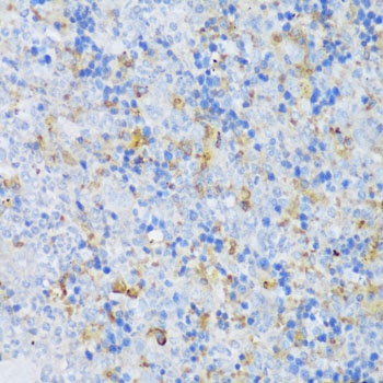
Immunohistochemistry analysis of paraffin-embedded Mouse spleen using CRACR2A Rabbit pAb (CAB13838) at dilution of 1:150 (40x lens). Microwave antigen retrieval performed with 0.01M PBS Buffer (pH 7.2) prior to IHC staining.