The Casein Kinase 2 alpha (CSNK2A1) Antibody (CAB1014) is a high-quality antibody developed for reliable detection and analysis of target proteins. Casein kinase II is a serine/threonine protein kinase that phosphorylates acidic proteins such as casein. It is involved in various cellular processes, including cell cycle control, apoptosis, and circadian rhythm. The kinase exists as a tetramer and is composed of an alpha, an alpha-prime, and two beta subunits. The alpha subunits contain the catalytic activity while the beta subunits undergo autophosphorylation. The protein encoded by this gene represents the alpha subunit. Multiple transcript variants encoding different protein isoforms have been found for this gene. RRID AB_2757666 Gene ID 1457 Swiss Prot Synonym CKII; Cka1; Cka2; CK2A1; OCNDS; Casein Kinase 2 alpha (CSNK2A1)
This antibody is validated for use in WB, IHC-P, ELISA applications and has demonstrated reactivity against Human, Mouse, Rat samples.
Product Name:
Casein Kinase 2 alpha (CSNK2A1) Antibody
SKU:
CAB1014
Size:
100μL, 20μL
Reactivity:
Human, Mouse, Rat
Clone Number:
-
Conjugate:
Unconjugated
Immunogen:
Recombinant protein (or fragment).This information is considered to be commercially sensitive.
Tested Applications:
WBIHC-PELISA
Recommended Dilution:
WB
1:500 - 1:1000
IHC-P
1:50 - 1:200
ELISA
Recommended starting concentration is 1 μg/mL. Please optimize the concentration based on your specific assay requirements.
SGC-7901, H460, HT-1080, BT-474, SW620, Mouse liver, Mouse heart, Rat liver, Mouse heart, Rat liver, SGC-7901
Cellular Localization:
Nucleus.
Calculated MW:
45kDa
Observed MW:
41kDa
Casein kinase II is a serine/threonine protein kinase that phosphorylates acidic proteins such as casein. It is involved in various cellular processes, including cell cycle control, apoptosis, and circadian rhythm. The kinase exists as a tetramer and is composed of an alpha, an alpha-prime, and two beta subunits. The alpha subunits contain the catalytic activity while the beta subunits undergo autophosphorylation. The protein encoded by this gene represents the alpha subunit. Multiple transcript variants encoding different protein isoforms have been found for this gene. RRID AB_2757666 Gene ID 1457 Swiss Prot Synonym CKII; Cka1; Cka2; CK2A1; OCNDS; Casein Kinase 2 alpha (CSNK2A1)
Purification Method:
Affinity purification
Gene ID:
1457
RRID:
AB_2757666
Buffer Information:
Store at -20℃. Avoid freeze / thaw cycles. Buffer: PBS containing 50% glycerol, preserved with proclin300 or sodium azide, pH 7.3.
Western blot analysis of various lysates using Casein Kinase 2 alpha (CSNK2A1) Rabbit pAb (CAB1014) at 1:1000 dilution. Secondary antibody: HRP-conjugated Goat anti-Rabbit IgG (H+L) (AS014) at 1:10000 dilution. Lysates/proteins: 25μg per lane. Blocking buffer: 3% nonfat dry milk in TBST. Detection: ECL Basic Kit (AbGn00020). Exposure time: 1s.
Western blot analysis of various lysates using Casein Kinase 2 alpha (CSNK2A1) Rabbit pAb (CAB1014) at 1:1000 dilution. Secondary antibody: HRP-conjugated Goat anti-Rabbit IgG (H+L) (AS014) at 1:10000 dilution. Lysates / proteins: 25 μg per lane. Blocking buffer: 3 % nonfat dry milk in TBST. Detection: ECL Basic Kit (AbGn00020). Exposure time: 5s.
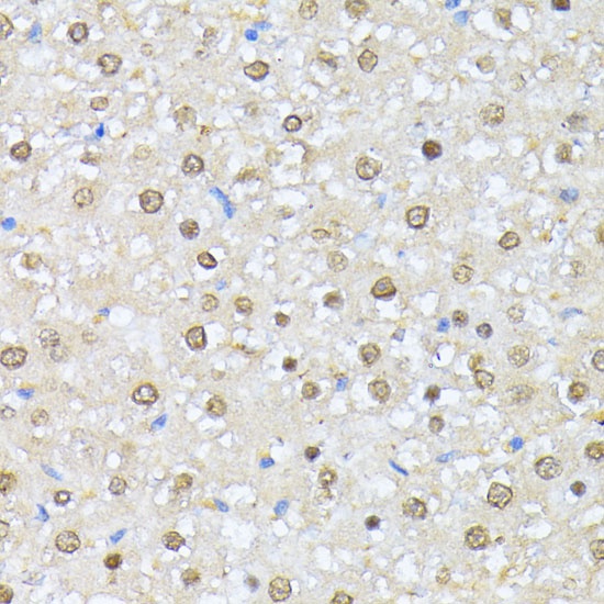
Immunohistochemistry analysis of paraffin-embedded Rat liver using Casein Kinase 2 alpha (CSNK2A1) Rabbit pAb (CAB1014) at dilution of 1:100 (40x lens). Microwave antigen retrieval performed with 0.01M PBS Buffer (pH 7.2) prior to IHC staining.
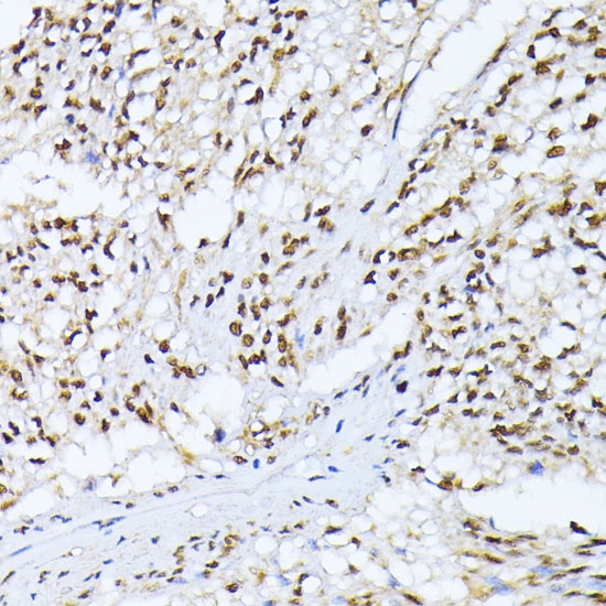
Immunohistochemistry analysis of paraffin-embedded Human gastric cancer using Casein Kinase 2 alpha (CSNK2A1) Rabbit pAb (CAB1014) at dilution of 1:100 (40x lens). Microwave antigen retrieval performed with 0.01M PBS Buffer (pH 7.2) prior to IHC staining.