CSNK2A3 Antibody is a premium polyclonal that offers outstanding performance and reliability for demanding research applications. Rigorously validated for ELISA, WB, IHC, IP, this antibody ensures consistent, reproducible results across multiple experimental platforms. Demonstrates excellent reactivity with Human samples, providing researchers with confidence in cross-species compatibility. Conveniently packaged in 50ul format to meet your experimental needs. For optimal performance, store at -20°C or -80°C and maintains stability for 12 months. Backed by rigorous quality control testing to ensure superior performance in your critical research applications.
Product Name:
CSNK2A3 Antibody
SKU:
PACO61999
Size:
50μl
Isotype:
IgG
Host Species:
Rabbit
Reactivity:
Human
Immunogen:
Recombinant Human Casein kinase II subunit alpha 3 protein (151-391AA)
Immunogen Species:
Homo sapiens (Human)
Uniprot No:
Q8NEV1
Form:
Liquid
Tested Applications:
ELISAWBIHCIP
Recommended Dilution:
Application
Recommended Dilution
WB
1:1000-1:5000
IHC
1:200-1:500
IP
1:200-1:2000
Synonyms:
CSNK2A3 antibody, CSNK2A1PCasein kinase II subunit alpha 3 antibody, CK II alpha 3 antibody, EC 2.7.11.1 antibody, Casein kinase II alpha 1 polypeptide pseudogene antibody
Western Blot Positive WB detected in: PC3 whole cell lysate, SH-SY5Y whole cell lysate, A549 whole cell lysate, Jurkat whole cell lysate, K562 whole cell lysate, Hela whole cell lysate, THP-1 whole cell lysate All lanes: CSNK2A3 antibody at 1:2000 Secondary Goat polyclonal to rabbit IgG at 1/50000 dilution Predicted band size: 46 kDa Observed band size: 46 kDa
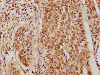
IHC image of PACO61999 diluted at 1:400 and staining in paraffin-embedded human cervical cancer performed on a Leica BondTM system. After dewaxing and hydration, antigen retrieval was mediated by high pressure in a citrate buffer (pH 6.0). Section was blocked with 10% normal goat serum 30min at RT. Then primary antibody (1% BSA) was incubated at 4°C overnight. The primary is detected by a biotinylated secondary antibody and visualized using an HRP conjugated SP system.
Immunoprecipitating CSNK2A3 in Hela whole cell lysate Lane 1: Rabbit control IgG instead of PACO61999 in Hela whole cell lysate. For western blotting, a HRP-conjugated Protein G antibody was used as the secondary antibody (1/50000) Lane 2: PACO61999 (5µg) + Hela whole cell lysate (0.5mg) Lane 3: Hela whole cell lysate (20µg)