The CTNNA2 Antibody (CAB15269) is a high-quality antibody developed for reliable detection and analysis of target proteins. The antibody is produced in rabbits and is highly specific for human samples, allowing for accurate detection and analysis in various experimental settings.CTNNA2, also known as α-catenin 2, plays a crucial role in maintaining cell shape and tissue integrity through its interactions with cadherin proteins. Dysregulation of CTNNA2 has been implicated in various diseases, including cancer and neurological disorders, making it an important target for research in these areas.
This antibody is validated for use in WB, IHC-P, IF/ICC, ELISA applications and has demonstrated reactivity against Human, Mouse, Rat samples.
Product Name:
CTNNA2 Antibody
SKU:
CAB15269
Size:
20μL, 100μL
Reactivity:
Human, Mouse, Rat
Conjugate:
Unconjugated
Immunogen:
Recombinant protein (or fragment).This information is considered to be commercially sensitive.
Enables actin filament binding activity. Involved in negative regulation of Arp2/3 complex-mediated actin nucleation; regulation of neuron migration; and regulation of neuron projection development. Located in cytoplasm. Implicated in complex cortical dysplasia with other brain malformations.
Purification Method
Affinity purification
Gene ID
1496
RRID
AB_2762168
Buffer Information
Store at -20℃. Avoid freeze / thaw cycles. Buffer: PBS containing 50% glycerol, preserved with proclin300 or sodium azide, pH 7.3.
Western blot analysis of various lysates using CTNNA2 Rabbit pAb (CAB15269) at 1:1000 dilution. Secondary antibody: HRP-conjugated Goat anti-Rabbit IgG (H+L) (CABS014) at 1:10000 dilution. Lysates/proteins: 25μg per lane. Blocking buffer: 3% nonfat dry milk in TBST. Detection: ECL Basic Kit (AbGn00020). Exposure time: 5s.
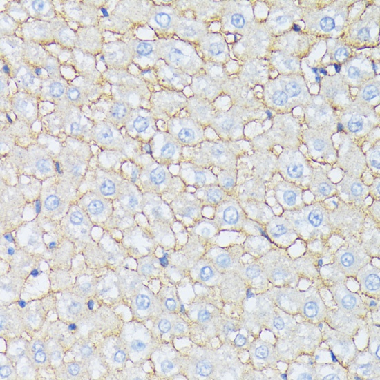
Immunohistochemistry analysis of paraffin-embedded Rat liver using CTNNA2 Rabbit pAb (CAB15269) at dilution of 1:100 (40x lens). Microwave antigen retrieval performed with 0.01M PBS Buffer (pH 7.2) prior to IHC staining.
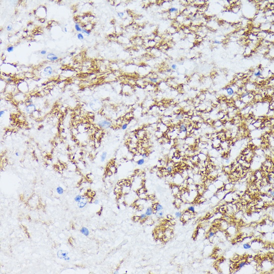
Immunohistochemistry analysis of paraffin-embedded Mouse spinal cord using CTNNA2 Rabbit pAb (CAB15269) at dilution of 1:100 (40x lens). Microwave antigen retrieval performed with 0.01M PBS Buffer (pH 7.2) prior to IHC staining.
Immunofluorescence analysis of Neuro-2a cells using CTNNA2 Rabbit pAb (CAB15269) at dilution of 1:100 (40x lens). Secondary antibody: Cy3-conjugated Goat anti-Rabbit IgG (H+L) (CABS007) at 1:500 dilution. Blue: DAPI for nuclear staining.