The Cullin 4A Monoclonal Antibody (CAB5064) is a high-quality antibody developed for reliable detection and analysis of target proteins. This monoclonal antibody, produced in rabbits, offers high specificity and sensitivity for detecting Cullin4A in various cell types and tissues.Cullin4A is a critical component of the Cullin-RING E3 ubiquitin ligase complex, which plays a crucial role in protein degradation and cell cycle control. Dysregulation of Cullin4A has been linked to various diseases, including cancer, making it a potential target for therapeutic interventions.
This antibody is validated for use in WB, IHC-P, ELISA applications and has demonstrated reactivity against Human samples.
Product Name:
Cullin 4A Monoclonal Antibody
SKU:
CAB5064
Size:
20μL, 100μL
Reactivity:
Human
Clone Number:
ARC1237
Conjugate:
Unconjugated
Immunogen:
Synthetic peptide. This information is considered to be commercially sensitive.
Recommended starting concentration is 1 μg/mL. Please optimize the concentration based on your specific assay requirements.
Synonyms:
CUL4A, cullin-4A, Cullin 4A
Positive Sample:
HeLa, Raji
Cellular Localization:
Nucleoplasm, Nucleus.
Calculated MW:
88kDa
Observed MW:
88kDa
CUL4A is the ubiquitin ligase component of a multimeric complex involved in the degradation of DNA damage-response proteins (Liu et al., 2009 [PubMed 19481525]).
Purification Method
Affinity purification
Gene ID
8451
RRID
AB_2863427
Buffer Information
Store at -20℃. Avoid freeze / thaw cycles. Buffer: PBS containing 50% glycerol and 0.05% BSA, preserved with proclin300 or sodium azide, pH 7.3.
Western blot analysis of various lysates using Cullin 4A Rabbit mAb (CAB5064) at 1:1000 dilution. Secondary antibody: HRP-conjugated Goat anti-Rabbit IgG (H+L) (CABS014) at 1:10000 dilution. Lysates/proteins: 25μg per lane. Blocking buffer: 3% nonfat dry milk in TBST. Detection: ECL Basic Kit (AbGn00020). Exposure time: 3s.
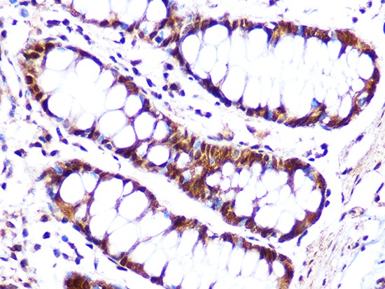
Immunohistochemistry analysis of paraffin-embedded Human colon using Cullin 4A Rabbit mAb (CAB5064) at dilution of 1:100 (40x lens). Microwave antigen retrieval performed with 0.01M Tris/EDTA Buffer (pH 9.0) prior to IHC staining.