The CWF19L1 Polyclonal Antibody (PAC036518) is a valuable tool for researchers studying the CWF19L1 protein, which plays a key role in various cellular processes. This antibody, produced in rabbits, is highly specific to human samples and is validated for use in Western blot applications. By binding to the CWF19L1 protein, this antibody allows for the detection and analysis of CWF19L1 in different cell types, making it an essential reagent for studies in cell biology and disease mechanisms.CWF19L1 is a crucial component of the CCR4-NOT complex, which is involved in mRNA degradation and transcriptional regulation.
Research has shown that dysregulation of CWF19L1 can lead to aberrant gene expression and cellular dysfunction, making it a potential target for therapeutic interventions in diseases like cancer and neurological disorders. By understanding the function of CWF19L1, researchers can gain insights into the molecular mechanisms underlying these conditions and develop targeted treatments.
Western blot. All lanes: CWF19L1 antibody at 4µg/ml + Raji whole cell lysate. Secondary. Goat polyclonal to rabbit IgG at 1/10000 dilution. Predicted band size: 61, 28, 46 kDa. Observed band size: 61 kDa.
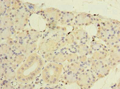
Immunohistochemistry of paraffin-embedded human pancreatic tissue using PACO36518 at dilution of 1:100.
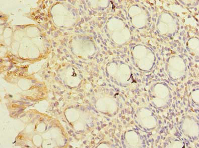
Immunohistochemistry of paraffin-embedded human colon tissue using PACO36518 at dilution of 1:100.
Synonyms:
CWF19-like protein 1 (C19L1), CWF19L1
UniProt Protein Function:
CWF19L1: Belongs to the CWF19 family. 3 isoforms of the human protein are produced by alternative splicing.Protein type: Unknown functionChromosomal Location of Human Ortholog: 10q24.31Molecular Function: catalytic activityBiological Process: metabolic processDisease: Spinocerebellar Ataxia, Autosomal Recessive 17
UniProt Protein Details:
NCBI Summary:
This gene encodes a member of the CWF19 protein family. Mutations in this gene have been associated with autosomal recessive spinocerebellar ataxia-17 and mild mental retardation. Alternative splicing results in multiple transcript variants. [provided by RefSeq, Dec 2014]