The CYLD Antibody (CAB3821) is a high-quality antibody developed for reliable detection and analysis of target proteins. This antibody, generated in rabbits, exhibits high specificity for human samples and is validated for use in Western blot applications. By targeting the CYLD protein, this antibody enables the detection and analysis of CYLD expression in various cell types, making it ideal for investigations in immunology and cancer research.CYLD is a deubiquitinating enzyme that plays a crucial role in regulating immune responses and inflammatory signaling pathways. Dysregulation of CYLD has been implicated in various diseases, including cancer, autoimmune disorders, and inflammatory conditions.
This antibody is validated for use in WB, IHC-P, ELISA applications and has demonstrated reactivity against Human, Mouse, Rat samples.
Product Name:
CYLD Antibody
SKU:
CAB3821
Size:
20μL, 100μL
Reactivity:
Human, Mouse, Rat
Conjugate:
Unconjugated
Immunogen:
Recombinant protein (or fragment).This information is considered to be commercially sensitive.
This gene is encodes a cytoplasmic protein with three cytoskeletal-associated protein-glycine-conserved (CAP-GLY) domains that functions as a deubiquitinating enzyme. Mutations in this gene have been associated with cylindromatosis, multiple familial trichoepithelioma, and Brooke-Spiegler syndrome. Alternate transcriptional splice variants, encoding different isoforms, have been characterized.
Purification Method
Affinity purification
Gene ID
1540
RRID
AB_2765323
Buffer Information
Store at -20℃. Avoid freeze / thaw cycles. Buffer: PBS containing 50% glycerol, preserved with proclin300 or sodium azide, pH 7.3.
Western blot analysis of various lysates using CYLD Rabbit pAb (CAB3821) at 1:500 dilution. Secondary antibody: HRP-conjugated Goat anti-Rabbit IgG (H+L) (CABS014) at 1:10000 dilution. Lysates/proteins: 25μg per lane. Blocking buffer: 3% nonfat dry milk in TBST. Detection: ECL Basic Kit (AbGn00020). Exposure time: 90s.
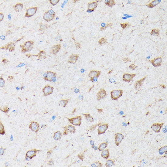
Immunohistochemistry analysis of paraffin-embedded Rat brain using CYLD Rabbit pAb (CAB3821) at dilution of 1:100 (40x lens). High pressure antigen retrieval performed with 0.01M Citrate buffer (pH 6.0) prior to IHC staining.
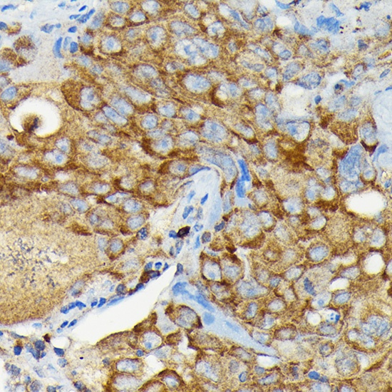
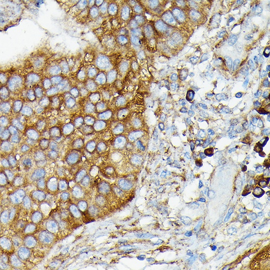
Immunohistochemistry analysis of paraffin-embedded Human lung cancer using CYLD Rabbit pAb (CAB3821) at dilution of 1:100 (40x lens). High pressure antigen retrieval performed with 0.01M Citrate buffer (pH 6.0) prior to IHC staining.
Immunohistochemistry analysis of paraffin-embedded Human esophageal cancer using CYLD Rabbit pAb (CAB3821) at dilution of 1:100 (40x lens). High pressure antigen retrieval performed with 0.01M Citrate buffer (pH 6.0) prior to IHC staining.