The CYP2F1 Antibody (CAB7550) is a high-quality antibody developed for reliable detection and analysis of target proteins. By specifically binding to the Cytochrome P450 2F1 protein, this antibody enables accurate detection and analysis in various cell types, facilitating research in pharmacology, toxicology, and drug development.The Cytochrome P450 2F1 enzyme plays a crucial role in metabolizing a wide range of drugs, environmental toxins, and endogenous compounds, influencing drug efficacy and toxicity in individuals.
This antibody is validated for use in WB, IHC-P, ELISA applications and has demonstrated reactivity against Human, Mouse, Rat samples.
Product Name:
CYP2F1 Antibody
SKU:
CAB7550
Size:
20μL, 100μL
Reactivity:
Human, Mouse, Rat
Conjugate:
Unconjugated
Immunogen:
Recombinant protein (or fragment).This information is considered to be commercially sensitive.
This gene encodes a member of the cytochrome P450 superfamily of enzymes. The cytochrome P450 proteins are monooxygenases which catalyze many reactions involved in drug metabolism and synthesis of cholesterol, steroids and other lipids. This protein localizes to the endoplasmic reticulum and is known to dehydrogenate 3-methylindole, an endogenous toxin derived from the fermentation of tryptophan, as well as xenobiotic substrates such as naphthalene and ethoxycoumarin. This gene is part of a large cluster of cytochrome P450 genes from the CYP2A, CYP2B and CYP2F subfamilies on chromosome 19q.
Purification Method
Affinity purification
Gene ID
1572
RRID
AB_2768075
Buffer Information
Store at -20℃. Avoid freeze / thaw cycles. Buffer: PBS containing 50% glycerol, preserved with proclin300 or sodium azide, pH 7.3.
Western blot analysis of various lysates using CYP2F1 Rabbit pAb (CAB7550) at 1:1000 dilution. Secondary antibody: HRP-conjugated Goat anti-Rabbit IgG (H+L) (CABS014) at 1:10000 dilution. Lysates/proteins: 25μg per lane. Blocking buffer: 3% nonfat dry milk in TBST. Detection: ECL Basic Kit (AbGn00020). Exposure time: 90s.
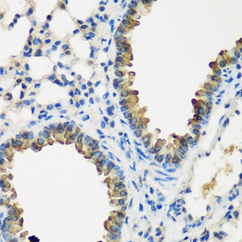
Immunohistochemistry analysis of paraffin-embedded Mouse lung using CYP2F1 Rabbit pAb (CAB7550) at dilution of 1:200 (40x lens). Microwave antigen retrieval performed with 0.01M PBS Buffer (pH 7.2) prior to IHC staining.