DAZ4 Antibody is a premium polyclonal that offers outstanding performance and reliability for demanding research applications. Rigorously validated for ELISA, IHC, this antibody ensures consistent, reproducible results across multiple experimental platforms. Demonstrates excellent reactivity with Human samples, providing researchers with confidence in cross-species compatibility. Conveniently packaged in 50ul format to meet your experimental needs. For optimal performance, store at -20°C or -80°C and maintains stability for 12 months. Backed by rigorous quality control testing to ensure superior performance in your critical research applications.
Product Name:
DAZ4 Antibody
SKU:
PACO13803
Size:
50μl
Isotype:
IgG
Host Species:
Rabbit
Reactivity:
Human
Immunogen:
Fusion protein of Human DAZ4
Immunogen Species:
Homo sapiens (Human)
Uniprot No:
Q86SG3
Form:
Liquid
Tested Applications:
ELISAIHC
Recommended Dilution:
Application
Recommended Dilution
ELISA
1:500-1:5000
IHC
1:5-1:20
Synonyms:
DAZ4Deleted in azoospermia protein 4 antibody
Target Names:
DAZ4
Storage Buffer:
-20°C, pH7.4 PBS, 0.05% NaN3, 40% Glycerol
Purification:
Antigen affinity purification
Conjugate:
Non-conjugated
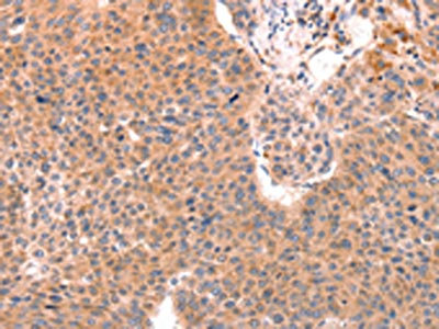
The image on the left is immunohistochemistry of paraffin-embedded Human thyroid cancer tissue using PACO13803 at dilution 1/50, on the right is treated with fusion protein. (Original magnification: ×200)
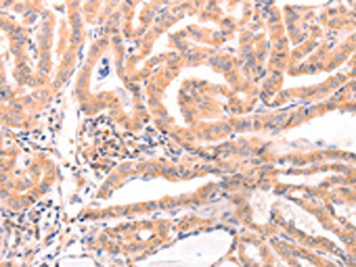
The image on the left is immunohistochemistry of paraffin-embedded Human liver cancer tissue using PACO13803 at dilution 1/50, on the right is treated with fusion protein. (Original magnification: ×200)