DDX19A Antibody is a premium polyclonal that offers outstanding performance and reliability for demanding research applications. Rigorously validated for ELISA, WB, IHC, this antibody ensures consistent, reproducible results across multiple experimental platforms. Demonstrates excellent reactivity with Human, Mouse samples, providing researchers with confidence in cross-species compatibility. Conveniently packaged in 50ug format to meet your experimental needs. For optimal performance, store at -20°C or -80°C and maintains stability for 12 months. Backed by rigorous quality control testing to ensure superior performance in your critical research applications.
Product Name:
DDX19A Antibody
SKU:
PACO42250
Size:
50μg
Isotype:
IgG
Host Species:
Rabbit
Reactivity:
Human, Mouse
Immunogen:
Recombinant Human ATP-dependent RNA helicase DDX19A protein (1-478AA)
Immunogen Species:
Homo sapiens (Human)
Uniprot No:
Q9NUU7
Form:
Liquid
Tested Applications:
ELISAWBIHC
Recommended Dilution:
Application
Recommended Dilution
WB
1:1000-1:5000
IHC
1:20-1:200
Synonyms:
ATP dependent RNA helicase DDX19A antibody, ATP-dependent RNA helicase DDX19A antibody, DD19A_HUMAN antibody, DDX19 like protein antibody, DDX19-like protein antibody, DDX19A antibody, DDX19L antibody, DEAD box protein 19A antibody
Western blot All lanes: ATP-dependent RNA helicase DDX19A antibody at 2µg/ml + Mouse gonad tissue Secondary Goat polyclonal to rabbit IgG at 1/10000 dilution Predicted band size: 54, 44 kDa Observed band size: 54 kDa
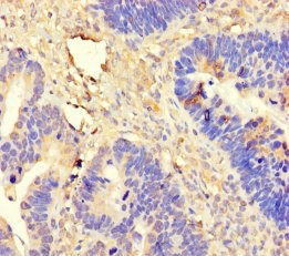
Immunohistochemistry of paraffin-embedded human ovarian cancer using PACO42250 at dilution of 1:100
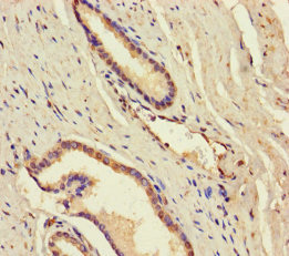
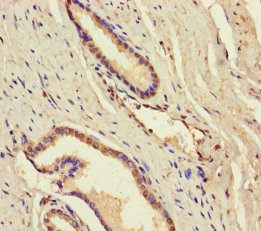
Immunohistochemistry of paraffin-embedded human prostate cancer using PACO42250 at dilution of 1:100