The DDX20 Antibody (CAB5817) is a high-quality antibody developed for reliable detection and analysis of target proteins. This antibody, produced in rabbits, is highly specific to human samples and has been validated for use in Western blotting applications. By targeting the DDX20 protein, this antibody enables the detection and analysis of DDX20 in various cell types, making it ideal for studies in molecular biology and gene expression research.DDX20, also known as RNA helicase DDX20, plays a crucial role in RNA processing and gene regulation, making it a key player in cellular functions such as transcription and translation.
This antibody is validated for use in WB, IF/ICC, ELISA applications and has demonstrated reactivity against Human, Mouse, Rat samples.
Product Name:
DDX20 Antibody
SKU:
CAB5817
Size:
20μL, 100μL
Reactivity:
Human, Mouse, Rat
Conjugate:
Unconjugated
Immunogen:
Recombinant protein (or fragment).This information is considered to be commercially sensitive.
DEAD box proteins, characterized by the conserved motif Asp-Glu-Ala-Asp (DEAD), are putative RNA helicases. They are implicated in a number of cellular processes involving alteration of RNA secondary structure such as translation initiation, nuclear and mitochondrial splicing, and ribosome and spliceosome assembly. Based on their distribution patterns, some members of this family are believed to be involved in embryogenesis, spermatogenesis, and cellular growth and division. This gene encodes a DEAD box protein, which has an ATPase activity and is a component of the survival of motor neurons (SMN) complex. This protein interacts directly with SMN, the spinal muscular atrophy gene product, and may play a catalytic role in the function of the SMN complex on RNPs.
Purification Method
Affinity purification
Gene ID
11218
RRID
AB_2766569
Buffer Information
Store at -20℃. Avoid freeze / thaw cycles. Buffer: PBS containing 50% glycerol, preserved with proclin300 or sodium azide, pH 7.3.
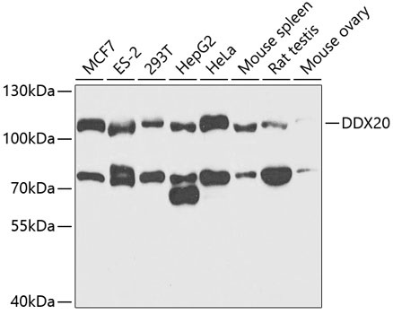
Western blot analysis of various lysates using DDX20 Rabbit pAb (CAB5817) at 1:1000 dilution. Secondary antibody: HRP-conjugated Goat anti-Rabbit IgG (H+L) (CABS014) at 1:10000 dilution. Lysates/proteins: 25μg per lane. Blocking buffer: 3% nonfat dry milk in TBST. Detection: ECL Enhanced Kit (AbGn00021). Exposure time: 90s.
Immunofluorescence analysis of HeLa cells using DDX20 Rabbit pAb (CAB5817). Secondary antibody: Cy3-conjugated Goat anti-Rabbit IgG (H+L) (CABS007) at 1:500 dilution. Blue: DAPI for nuclear staining.