DDX42 Antibody is a premium polyclonal that offers outstanding performance and reliability for demanding research applications. Rigorously validated for ELISA, IHC, IF, this antibody ensures consistent, reproducible results across multiple experimental platforms. Demonstrates excellent reactivity with Human samples, providing researchers with confidence in cross-species compatibility. Conveniently packaged in 50ug format to meet your experimental needs. For optimal performance, store at -20°C or -80°C and maintains stability for 12 months. Backed by rigorous quality control testing to ensure superior performance in your critical research applications.
Product Name:
DDX42 Antibody
SKU:
PACO37422
Size:
50μg
Isotype:
IgG
Host Species:
Rabbit
Reactivity:
Human
Immunogen:
Recombinant Human ATP-dependent RNA helicase DDX42 protein (519-819AA)
Immunogen Species:
Homo sapiens (Human)
Uniprot No:
Q86XP3
Form:
Liquid
Tested Applications:
ELISAIHCIF
Recommended Dilution:
Application
Recommended Dilution
IHC
1:20-1:200
IF
1:50-1:500
Synonyms:
DDX42ATP-dependent RNA helicase DDX42 antibody, EC 3.6.4.13 antibody, DEAD box protein 42 antibody, RNA helicase-like protein antibody, RHELP antibody, RNA helicase-related protein antibody, RNAHP antibody, SF3b DEAD box protein antibody, Splicing factor 3B-associated 125 kDa protein antibody, SF3b125 antibody
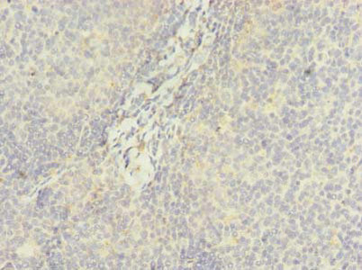
Immunohistochemistry of paraffin-embedded human tonsil tissue using PACO37422 at dilution of 1:100
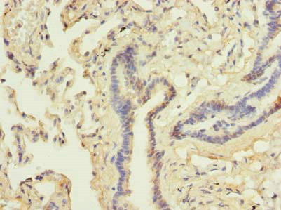
Immunohistochemistry of paraffin-embedded human lung tissue using PACO37422 at dilution of 1:100
Immunofluorescence staining of Hela cells cells with PACO37422 at 1:200, counter-stained with DAPI. The cells were fixed in 4% formaldehyde, permeabilized using 0.2% Triton X-100 and blocked in 10% normal Goat Serum. The cells were then incubated with the antibody overnight at 4°C. The secondary antibody was Alexa Fluor 488-congugated AffiniPure Goat Anti-Rabbit IgG(H+L).