Description
DEFB129 Antibody (PACO40546)
The DEFB129 Polyclonal Antibody (PACO40546) is a high-quality antibody designed for research involving the DEFB129 protein, a member of the defensin family known for its antimicrobial properties. This antibody, produced in rabbits, is specifically reactive with human samples and has been validated for use in various applications, including Western blot and immunohistochemistry.DEFB129 is a key player in the innate immune system, providing defense against pathogens by disrupting their cell membranes. Its role in host defense makes it a valuable target for studying infectious diseases and immune responses.
By using the DEFB129 Polyclonal Antibody, researchers can accurately detect and analyze the expression of DEFB129 in different cell types, advancing our understanding of its function in immunity and disease.Overall, the DEFB129 Polyclonal Antibody (PACO40546) is a powerful tool for investigating the biological roles of DEFB129 and its potential therapeutic applications in infectious diseases and immune-related disorders. Its high specificity and reliability make it a valuable asset for researchers in the fields of immunology, microbiology, and infectious disease research.
| Antibody Name: | DEFB129 Antibody (PACO40546) |
| Antibody SKU: | PACO40546 |
| Size: | 50ug |
| Host Species: | Rabbit |
| Tested Applications: | ELISA, WB, IHC |
| Recommended Dilutions: | ELISA:1:2000-1:10000, WB:1:1000-1:5000, IHC:1:20-1:200 |
| Species Reactivity: | Human |
| Immunogen: | Recombinant Human Beta-defensin 129 protein (20-183AA) |
| Form: | Liquid |
| Storage Buffer: | Preservative: 0.03% Proclin 300 Constituents: 50% Glycerol, 0.01M PBS, PH 7.4 |
| Purification Method: | >95%, Protein G purified |
| Clonality: | Polyclonal |
| Isotype: | IgG |
| Conjugate: | Non-conjugated |
![]() | Western blot. All lanes: DEFB129 antibody at 8µg/ml + HL60 whole cell lysate. Secondary. Goat polyclonal to rabbit IgG at 1/10000 dilution. Predicted band size: 21 kDa. Observed band size: 21 kDa. |
![]() | Immunohistochemistry of paraffin-embedded human pancreatic cancer using PACO40546 at dilution of 1:100. |
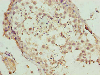
![]() | Immunohistochemistry of paraffin-embedded human testis tissue using PACO40546 at dilution of 1:100. |
| Background: | Has antibacterial activity. |
| Synonyms: | Beta-defensin 129 (Beta-defensin 29) (DEFB-29) (Defensin, β 129), DEFB129, C20orf87 DEFB29 |
| UniProt Protein Function: | DEFB129: Has antibacterial activity (Potential). Belongs to the beta-defensin family. |
| UniProt Protein Details: | Protein type:Secreted; Secreted, signal peptide Chromosomal Location of Human Ortholog: 20p13 Cellular Component: cell surface; extracellular region Biological Process: defense response to bacterium; innate immune response |
| NCBI Summary: | Defensins are cysteine-rich cationic polypeptides that are important in the immunologic response to invading microorganisms. The antimicrobial protein encoded by this gene is secreted and is a member of the beta defensin protein family. Beta defensin genes are found in several clusters throughout the genome, with this gene mapping to a cluster at 20p13. [provided by RefSeq, Nov 2014] |
| UniProt Code: | Q9H1M3 |
| NCBI GenInfo Identifier: | 18250304 |
| NCBI Gene ID: | 140881 |
| NCBI Accession: | NP_543021.1 |
| UniProt Secondary Accession: | Q9H1M3,Q8NES7, |
| UniProt Related Accession: | Q9H1M3 |
| Molecular Weight: | 20,299 Da |
| NCBI Full Name: | beta-defensin 129 |
| NCBI Synonym Full Names: | defensin beta 129 |
| NCBI Official Symbol: | DEFB129Â Â |
| NCBI Official Synonym Symbols: | DEFB29; hBD-29; DEFB-29; C20orf87; bA530N10.3Â Â |
| NCBI Protein Information: | beta-defensin 129 |
| UniProt Protein Name: | Beta-defensin 129 |
| UniProt Synonym Protein Names: | Beta-defensin 29; DEFB-29; Defensin, beta 129 |
| Protein Family: | Beta-defensin |
| UniProt Gene Name: | DEFB129Â Â |
| UniProt Entry Name: | DB129_HUMAN |


