DHRS12 Antibody is a premium polyclonal that offers outstanding performance and reliability for demanding research applications. Rigorously validated for ELISA, WB, IHC, IF, this antibody ensures consistent, reproducible results across multiple experimental platforms. Demonstrates excellent reactivity with Human samples, providing researchers with confidence in cross-species compatibility. Conveniently packaged in 50ug format to meet your experimental needs. For optimal performance, store at -20°C or -80°C and maintains stability for 12 months. Backed by rigorous quality control testing to ensure superior performance in your critical research applications.
Product Name:
DHRS12 Antibody
SKU:
PACO26233
Size:
50μg
Isotype:
IgG
Host Species:
Rabbit
Reactivity:
Human
Immunogen:
Recombinant Human Dehydrogenase/reductase SDR family member 12 protein (1-271AA)
Immunogen Species:
Homo sapiens (Human)
Uniprot No:
A0PJE2
Form:
Liquid
Tested Applications:
ELISAWBIHCIF
Recommended Dilution:
Application
Recommended Dilution
WB
1:500-1:2000
IHC
1:20-1:200
IF
1:50-1:200
Synonyms:
DHRS12 antibody, SDR40C1Dehydrogenase/reductase SDR family member 12 antibody, EC 1.1.-.- antibody, Short-chain dehydrogenase/reductase family 40C member 1 antibody
Western blot All lanes: DHRS12 antibody at 1.3µg/ml + Human placenta tissue Secondary Goat polyclonal to rabbit IgG at 1/10000 dilution Predicted band size: 36, 28, 31 kDa Observed band size: 31 kDa
Immunohistochemistry of paraffin-embedded human testis tissue using PACO26233 at dilution of 1:100
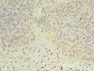
Immunohistochemistry of paraffin-embedded human cervical cancer using PACO26233 at dilution of 1:100
Immunofluorescent analysis of MCF-7 cells using PACO26233 at dilution of 1:100 and Alexa Fluor 488-congugated AffiniPure Goat Anti-Rabbit IgG(H+L)