DHX35 Antibody is a premium polyclonal that offers outstanding performance and reliability for demanding research applications. Rigorously validated for ELISA, WB, IHC, this antibody ensures consistent, reproducible results across multiple experimental platforms. Demonstrates excellent reactivity with Human, Mouse samples, providing researchers with confidence in cross-species compatibility. Conveniently packaged in 50ug format to meet your experimental needs. For optimal performance, store at -20°C or -80°C and maintains stability for 12 months. Backed by rigorous quality control testing to ensure superior performance in your critical research applications.
Product Name:
DHX35 Antibody
SKU:
PACO42174
Size:
50μg
Isotype:
IgG
Host Species:
Rabbit
Reactivity:
Human, Mouse
Immunogen:
Recombinant Human Probable ATP-dependent RNA helicase DHX35 protein (1-300AA)
Western blot All lanes: DHX35 antibody at 12µg/ml Lane 1: Mouse kidney tissue Lane 2: Mouse liver tissue Lane 3: K562 whole cell lysate Lane 4: Hela whole cell lysate Secondary Goat polyclonal to rabbit IgG at 1/10000 dilution Predicted band size: 79, 76 kDa Observed band size: 79 kDa
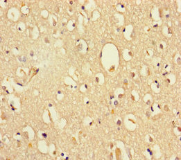
Immunohistochemistry of paraffin-embedded human brain tissue using PACO42174 at dilution of 1:100
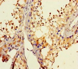
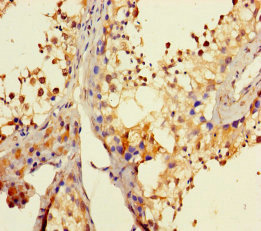
Immunohistochemistry of paraffin-embedded human testis tissue using PACO42174 at dilution of 1:100