The DPH5 Polyclonal Antibody (PACO61722) is a valuable tool for researchers studying the DPH5 protein, which is involved in the diphthamide biosynthesis pathway. This antibody, derived from rabbit sources, is highly specific to human samples and has been validated for use in Western blot applications.The DPH5 protein plays a crucial role in the post-translational modification of eukaryotic translation elongation factor 2 (eEF2), which is essential for protein synthesis. By targeting the DPH5 protein, researchers can gain insights into the regulation of protein synthesis and its impact on cellular function.The DPH5 Polyclonal Antibody enables the detection and analysis of the DPH5 protein in various cell types, making it an ideal tool for studies in molecular biology and biochemistry.
Understanding the function of DPH5 is fundamental for uncovering its role in cellular processes and potential implications in diseases related to protein synthesis dysregulation.Overall, the DPH5 Polyclonal Antibody is a valuable resource for researchers seeking to delve into the intricacies of protein synthesis and its impact on cellular physiology. Its specificity and reliability make it a crucial asset in advancing our understanding of the molecular mechanisms underlying various biological processes.
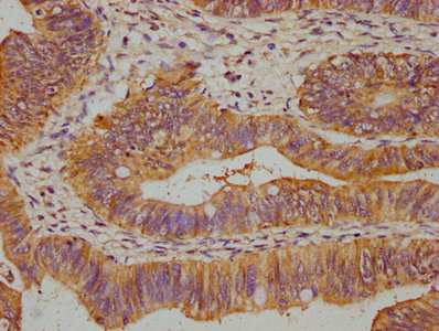
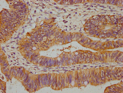
IHC image of PACO61722 diluted at 1:500 and staining in paraffin-embedded human colon cancer performed on a Leica BondTM system. After dewaxing and hydration, antigen retrieval was mediated by high pressure in a citrate buffer (pH 6.0). Section was blocked with 10% normal goat serum 30min at RT. Then primary antibody (1% BSA) was incubated at 4°C overnight. The primary is detected by a biotinylated secondary antibody and visualized using an HRP conjugated SP system.
Immunofluorescence staining of SH-SY5Y cells with PACO61722 at 1:166, counter-stained with DAPI. The cells were fixed in 4% formaldehyde, permeabilized using 0.2% Triton X-100 and blocked in 10% normal Goat Serum. The cells were then incubated with the antibody overnight at 4°C. The secondary antibody was Alexa Fluor 488-congugated AffiniPure Goat Anti-Rabbit IgG(H+L).
Background:
S-adenosyl-L-methionine-dependent methyltransferase that catalyzes four methylations of the modified target histidine residue in translation elongation factor 2 (EF-2), to form an intermediate called diphthine methyl ester. The four successive methylation reactions represent the second step of diphthamide biosynthesis.
DPH5: S-adenosyl-L-methionine-dependent methyltransferase that catalyzes the trimethylation of the amino group of the modified target histidine residue in translation elongation factor 2 (EF- 2), to form an intermediate called diphthine. The three successive methylation reactions represent the second step of diphthamide biosynthesis. Belongs to the diphthine synthase family. 6 isoforms of the human protein are produced by alternative splicing.Protein type: Methyltransferase; EC 2.1.1.98Chromosomal Location of Human Ortholog: 1p21.2Cellular Component: cytosolMolecular Function: diphthine synthase activityBiological Process: methylation; cellular protein metabolic process; peptidyl-diphthamide biosynthetic process from peptidyl-histidine; post-translational protein modification
UniProt Protein Details:
NCBI Summary:
This gene encodes a component of the diphthamide synthesis pathway. Diphthamide is a post-translationally modified histidine residue found only on translation elongation factor 2. It is conserved from archaebacteria to humans, and is targeted by diphtheria toxin and Pseudomonas exotoxin A to halt cellular protein synthesis. The yeast and Chinese hamster homologs of this protein catalyze the trimethylation of the histidine residue on elongation factor 2, resulting in a diphthine moiety that is subsequently amidated to yield diphthamide. Multiple transcript variants encoding different isoforms have been found for this gene. [provided by RefSeq, Jul 2008]